Formulation Supplied at 0.5 mg/ml in Tris saline, 0.02% sodium azide, pH7.3 with 0.5% bovine serum albumin.
| |
Unit Size 100 µg | |
Storage Instructions Aliquot and store at -20°C. Minimize freezing and thawing. | |
Synonym / Alias Names BCAR1|breast cancer anti-estrogen resistance 1|CAS|CAS1|CASS1|CRKAS|P130Cas|Cas scaffolding protein family member 1|Crk-associated substrate p130Cas|breast cancer anti-estrogen resistance protein 1 | |
Accession ID NP_001164185.1; NP_001164186.1; NP_001164187.1; NP_001164188.1; NP_001164189.1; NP_055382.2; NP_001164190.1; NP_001164191.1; NP_001164192.1 | |
Blocking Peptide EBP12156 | |
Immunogen Peptide with sequence C-KQTSTFSKQTPHH, from the internal region of the protein sequence according to NP_001164185.1; NP_001164186.1; NP_001164187.1; NP_001164188.1; NP_001164189.1; NP_055382.2; NP_001164190.1; NP_001164191.1; NP_001164192.1. | |
Product Comments This antibody is expected to recognize reported isoforms1, 2, 3, 5, 6 and 7. | |
Peptide Sequence C-KQTSTFSKQTPHH | |
Purification Method Purified from goat serum by ammonium sulphate precipitation followed by antigen affinity chromatography using the immunizing peptide. | |
Shipping Instructions Refrigerated | |
Predicted Species Human, Mouse, Rat, Dog | |
Reactive Species Human | |
Human Gene ID 9564 | |
Mouse Gene ID 12927 | |
Rat Gene ID 25414 | |
Product Grade ![]() | |
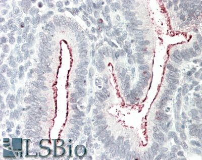
IHC Results In paraffin embedded Human Uterus shows strong staining at the glandular side of the endometrial epithelium. Recommended concentration, 5-10µg/ml. | |
ELISA Detection Limit Antibody detection limit dilution 1:128000. | |
Western Blot Approx 100kDa band observed in lysates of Human breast cancer and of cell line MCF7 (calculated MW of 97.9kDa according to NP_001164185.1). Recommended concentration: 1-3µg/ml. | |
Application Type Pep-ELISA, WB, IHC |
Goat Anti-BCAR1 Antibody
$431.00
| SKU | Unit Size | Price |
|---|---|---|
Select a unit size:
Documents |


