Formulation Supplied at 0.5 mg/ml in Tris saline, 0.02% sodium azide, pH7.3 with 0.5% bovine serum albumin.
| |
Unit Size 100 µg | |
Storage Instructions Aliquot and store at -20°C. Minimize freezing and thawing. | |
Synonym / Alias Names oxidoreductase UCPA|dehydrogenase/reductase (SDR family) member 6|UNQ6308|UCPA-OR|PRO20933|FLJ13261|EFA6R|3-hydroxybutyrate dehydrogenase, type 2|DHRS6|BDH2 | |
Accession ID NP_064524.3 | |
Blocking Peptide EBP08290 | |
Immunogen Peptide with sequence C-TKKKQIDQFANE, from the internal region of the protein sequence according to NP_064524.3. | |
Peptide Sequence C-TKKKQIDQFANE | |
Purification Method Purified from goat serum by ammonium sulphate precipitation followed by antigen affinity chromatography using the immunizing peptide. | |
Shipping Instructions Refrigerated | |
Predicted Species Human, Mouse, Rat | |
Reactive Species Human | |
Human Gene ID 56898 | |
Product Grade ![]() | |
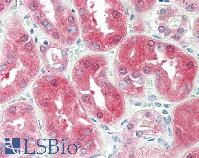
IHC Results Paraffin embedded Human Kidney. Recommended concentration: 5µg/ml. | |
ELISA Detection Limit Antibody detection limit dilution 1:64000. | |
Western Blot Approx 26kDa band observed in Human Kidney lysates (calculated MW of 26.7kDa according to NP_064524.3). Recommended concentration: 0.3-1µg/ml. Primary incubation was 1 hour. | |
Application Type Pep-ELISA, WB, IHC |
Goat Anti-BDH2 / DHRS6 (aa 60 to 71) Antibody
$431.00
| SKU | Unit Size | Price |
|---|---|---|
Select a unit size:
Selected References [{"pmid": 21492153, "intro": "This antibody has been successfully used in Western Blot on Human:", "title": "Analysis of proteomic changes induced upon cellular differentiation of the human intestinal cell line Caco-2.", "author": "Buhrke T, Lengler I, Lampen A.", "journal": "Dev Growth Differ. 2011 Apr;53(3):411-26"}] |
Documents |


