Formulation Supplied at 0.5 mg/ml in Tris saline, 0.02% sodium azide, pH7.3 with 0.5% bovine serum albumin.
| |
Unit Size 100 µg | |
Storage Instructions Aliquot and store at -20°C. Minimize freezing and thawing. | |
Synonym / Alias Names cstF-64|Cstf64|Cstf2|CSTF 64 kDa subunit|cleavage stimulation factor, 3' pre-RNA subunit 2, 64 kDa|cleavage stimulation factor, 3' pre-RNA subunit 2|cleavage stimulation factor subunit 2|cleavage stimulation factor 64 kDa subunit|CF-1 64 kDa subunit|C630034J23Rik|betaCstF-64 variant 3|betaCstF-64 variant 1|alphaCstF-64 variant 4|64kDa | |
Accession ID ACF05702.1; ACF05700.1 | |
Blocking Peptide EBP11838 | |
Immunogen Peptide with sequence C-PASIERVQGQRT, from the internal region of the protein sequence according to ACF05702.1; ACF05700.1. | |
Product Comments This antibody recognizes mouse variants 1 and 3 of the reported beta isoform (ACF05702.1; ACF05700.1). | |
Peptide Sequence C-PASIERVQGQRT | |
Purification Method Purified from goat serum by ammonium sulphate precipitation followed by antigen affinity chromatography using the immunizing peptide. | |
Shipping Instructions Refrigerated | |
Predicted Species Mouse | |
Reactive Species Human, Mouse | |
Mouse Gene ID 108062 | |
Product Grade ![]() | |
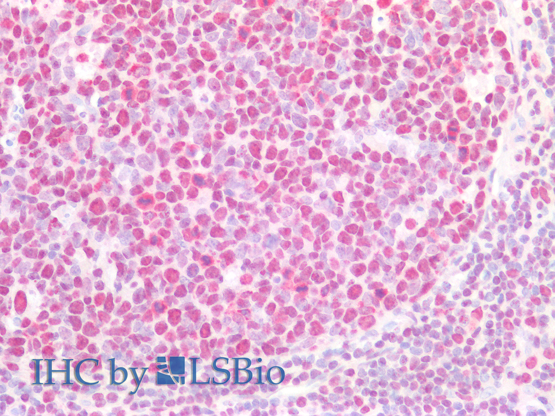
IHC Results Paraffin embedded Human Tonsil. Recommended concentration: 5µg/ml. | |
ELISA Detection Limit Antibody detection limit dilution 1:128000. | |
Western Blot Immunoprecipitation: In transfected HeLa transiently expressing Mouse ßCstf-64 ((DYKDDDDK tagged), a band of approx. 80kDa was observed using anti-DYKDDDDK antibody in Western blot after immunoprecipitation with EB11838. No bands were observed in mock-transfected HeLa. Yields were similar between RIPA buffer and Triton X-100 buffer conditions. Recommended amount, 2ug per lysate.
Immunoprecipitation: An approx 75kDa band is observed when endogenously expressed ßCstf-64 is pulled down from Mouse Brain lysates using EB11838, while Cstf-64 which is endogenously expresed in Mouse Liver, is not pulled down. Western blot was probed with a mouse monoclonal antibody recognizing both ßCstf-64 anf Cstf-64 Recommended amount 2ug EB11838/500ug lysate protein. | |
Application Type Pep-ELISA, IHC, IP |
Goat Anti-betaCstF-64 variant 1/ betaCstF-64 variant 3 (mouse) Antibody
$431.00
| SKU | Unit Size | Price |
|---|---|---|
Select a unit size:
Documents |



