Formulation Supplied at 0.5 mg/ml in Tris saline, 0.02% sodium azide, pH7.3 with 0.5% bovine serum albumin.
| |
Unit Size 100 µg | |
Storage Instructions Aliquot and store at -20°C. Minimize freezing and thawing. | |
Synonym / Alias Names betaine-homocysteine methyltransferase|BHMT | |
Accession ID NP_001704.1 | |
Blocking Peptide EBP07943 | |
Immunogen Peptide with sequence C-EQQLKELFEKQK, from the C Terminus of the protein sequence according to NP_001704.1 . | |
Peptide Sequence C-EQQLKELFEKQK | |
Purification Method Purified from goat serum by ammonium sulphate precipitation followed by antigen affinity chromatography using the immunizing peptide. | |
Shipping Instructions Refrigerated | |
Predicted Species Human, Mouse, Rat, Dog | |
Reactive Species Human, Mouse, Rat | |
Human Gene ID 635 | |
Mouse Gene ID 12116 | |
Rat Gene ID 81508 | |
Product Grade ![]() | |
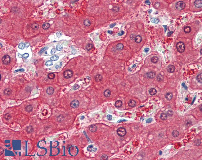
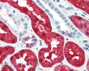
IHC Results Paraffin embedded Human Liver and Kidney. Recommended concentration: 5µg/ml. | |
ELISA Detection Limit Antibody detection limit dilution 1:16000. | |
Western Blot Approx 45kDa band observed in Rat Liver lysates (calculated MW of 44.9kDa according to human NP_001704.1, 45.0kDa according to mouse NP_057877.1 and rat NP_110477.1). This product has been successfully used in WB on Human (PMID: 27320863). This product has been successfully used in WB on Mouse (PMID:28605831, 23807810 and 22209966). This product has been successfully used in WB on Rat (Choi et al. Journal of Functional Foods 44 (2018) 65-73 and PMID:30746538). In transfected HEK293 transiently expressing BHMT a band of approx. 49kDa is observed. This band is not observed in the non-transfected HEK293. Recommended concentration: 0.03-0.1µg/ml. Primary incubation was 1 hour. | |
Application Type Pep-ELISA, WB, IHC |
Goat Anti-BHMT Antibody
$431.00
| SKU | Unit Size | Price |
|---|---|---|
Select a unit size:
Selected References [{"pmid": 0, "intro": "This antibody has been successfully used in Western blot on Rat:", "title": "Protective effect of betaine against galactosamine-induced acute liver injury in rats", "author": "Yeo Jin Choi, Jong Deok Na, Doo Sung Jun, Young Chul Kim.", "journal": "Journal of Functional Foods 44 (2018) 65-73."}, {"pmid": 30746538, "intro": "This antibody has been successfully used in Western blot on Rat:", "title": "Alleviation of paraquat-induced oxidative lung injury by betaine via regulation of sulfurcontaining amino acid metabolism despite the lack of betaine-homocysteine methyltransferase (BHMT) in the lung", "author": "Jong Deok Na, Yeo Jin Choi, Doo Sung Jun and Young Chul Ki", "journal": "Food Funct. 2019 Feb 20;10(2):1225-1234"}, {"pmid": 28605831, "intro": "This antibody has been successfully used in Western blot on Mouse:", "title": "Age-Related Changes in Sulfur Amino Acid Metabolism in Male C57BL/6 Mice.", "author": "Jeon J, Oh JJ, Kwak HC, Yun H, Kim HC, Kim YM, Oh SJ, Kim SK.", "journal": "Biomol Ther (Seoul). 2018 Mar 1;26(2):167-174."}, {"pmid": 23807810, "intro": "This antibody has been successfully used in Western blot on Mouse:", "title": "Alterations in sulfur amino acid metabolism in mice treated with silymarin: a novel mechanism of its action involved in enhancement of the antioxidant defense in liver.", "author": "Kwon DY, Jung YS, Kim SJ, Kim YS, Choi DW, Kim YC.", "journal": "Planta Med. 2013 Aug;79(12):997-1002."}, {"pmid": 27320863, "intro": "This antibody has been successfully used in Western blot on Human and Rat:", "title": "Alleviation of hepatic fat accumulation by betaine involves reduction of homocysteine via up-regulationof betaine-homocysteine methyltransferase (BHMT).", "author": "Ahn CW, Jun DS, Na JD, Choi YJ, Kim YC.", "journal": "Biochem Biophys Res Commun. 2016 Aug 26;477(3):440-7."}, {"pmid": 24390397, "intro": "This antibody has been successfully used on Rat:", "title": "Alterations in the metabolomics of sulfur-containing substances in rat kidney by betaine.", "author": "Kim YC, Kwon do Y, Kim JH.", "journal": "Amino Acids. 2014 Apr;46(4):963-8."}, {"pmid": 23220616, "intro": "This antibody has been successfully used on Mouse:", "title": "Hepatic metabolism of sulfur amino acids in db/db mice.", "author": "Yun KU, Ryu CS, Lee JY, Noh JR, Lee CH, Lee HS, Kang JS, Park SK, Kim BH, Kim \r\nSK.", "journal": "Food Chem Toxicol. 2013 Mar;53:180-6."}, {"pmid": 21703291, "intro": "This antibody has been successfully used on Human:", "title": "Sulfur amino acid metabolism in doxorubicin-resistant breast cancer cells.", "author": "Ryu CS, Kwak HC, Lee KS, Kang KW, Oh SJ, Lee KH, Kim HM, Ma JY, Kim SK.", "journal": "Toxicol Appl Pharmacol. 2011 Jun 14."}, {"pmid": 22209966, "intro": "This antibody has been successfully used in Western blot on Mouse:", "title": "Plasma homocysteine level and hepatic sulfur amino acid metabolism in mice fed a high-fat diet.", "author": "Yun KU, Ryu CS, Oh JM, Kim CH, Lee KS, Lee CH, Lee HS, Kim BH, Kim SK.", "journal": "Eur J Nutr. 2012 Jan 1."}] |
Documents |




