Formulation Supplied at 0.5 mg/ml in Tris saline, 0.02% sodium azide, pH7.3 with 0.5% bovine serum albumin.
| |
Unit Size 100 µg | |
Storage Instructions Aliquot and store at -20°C. Minimize freezing and thawing. | |
Synonym / Alias Names dJ612B15.2|SH3-containing protein SH3GLB1 CGI-61 protein endophilin B1|SH3-domain, GRB2-like, endophilin B1|SH3-containing protein SH3GLB1|Bax-interacting factor 1|endophilin B1|KIAA0491|CGI-61|SH3-domain GRB2-like endophilin B1|Bif-1|SH3GLB1 | |
Usage Summary Flow Cytometry: Flow cytometric analysis of A431 cells. Recommended concentration: 10ug/ml. | |
Accession ID NP_057093.1; NP_001193580.1; NP_001193581.1; NP_001193582.1 | |
Blocking Peptide EBP05158 | |
Immunogen Peptide with sequence C-QKGKVPITYLELLN, from the C Terminus of the protein sequence according to NP_057093.1; NP_001193580.1; NP_001193581.1; NP_001193582.1. | |
Peptide Sequence C-QKGKVPITYLELLN | |
Purification Method Purified from goat serum by ammonium sulphate precipitation followed by antigen affinity chromatography using the immunizing peptide. | |
Shipping Instructions Refrigerated | |
Predicted Species Human, Mouse, Rat, Dog, Cow | |
Reactive Species Human, Mouse, Rat | |
Human Gene ID 51100 | |
Mouse Gene ID 54673 | |
Product Grade ![]() | |
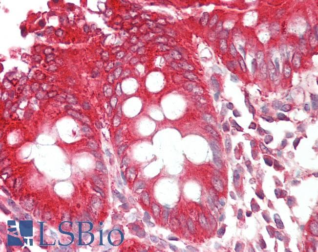
IHC Results Paraffin embedded Human Colon. Recommended concentration: 2.5µg/ml. | |
ELISA Detection Limit Antibody detection limit dilution 1:32000. | |
Western Blot Approx 40kDa band observed in lysates of cell lines HEK293 and NIH3T3, and approx. 38kDa in lysates of cell lines A431, RAW264.7 and KNRK (calculated MW of 40.8kDa according to Human NP_057093.1, Mouse NP_062337.1 and Rat NP_001011929.1). Recommended concentration:0.1-0.3µg/ml. Primary incubated 1 hour.at room temperature. | |
Application Type Pep-ELISA, WB, IHC, FC |
Goat Anti-BIF-1 / SH3GLB1 Antibody
$431.00
| SKU | Unit Size | Price |
|---|---|---|
Select a unit size:
Documents |




