Formulation Supplied at 0.5 mg/ml in Tris saline, 0.02% sodium azide, pH7.3 with 0.5% bovine serum albumin.
| |
Unit Size 100 µg | |
Storage Instructions Aliquot and store at -20°C. Minimize freezing and thawing. | |
Synonym / Alias Names short chain dehydrogenas|green heme-binding protein|flavin reductase (NADPH)|biliverdin-IX beta-reductase|NADPH-flavin reductase|NADPH-dependent diaphorase|GHBP|FR|BVR-B|SDR43U1|FLR|BVRB|biliverdin reductase B (flavin reductase (NADPH))|BLVRB | |
Accession ID NP_000704.1 | |
Blocking Peptide EBP12401 | |
Immunogen Peptide with sequence C-SRLPSEGPRPAH, from the internal region of the protein sequence according to NP_000704.1. | |
Peptide Sequence C-SRLPSEGPRPAH | |
Purification Method Purified from goat serum by ammonium sulphate precipitation followed by antigen affinity chromatography using the immunizing peptide. | |
Shipping Instructions Refrigerated | |
Predicted Species Human | |
Reactive Species Human | |
Human Gene ID 645 | |
Product Grade ![]() | |
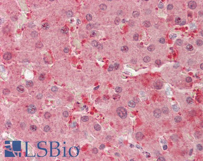
IHC Results Paraffin embedded Human Spleen (erythrocytes) and Liver. Recommended concentration: 5µg/ml. | |
ELISA Detection Limit Antibody detection limit dilution 1:128000. | |
Western Blot Approx 23kDa band observed in Human Liver lysates (calculated MW of 22.1kDa according to NP_000704.1). Recommended concentration: 0.1-0.3µg/ml. Primary incubation was 1 hour. | |
Application Type Pep-ELISA, WB, IHC |
Goat Anti-BLVRB (aa38-49) Antibody
$431.00
| SKU | Unit Size | Price |
|---|---|---|
Select a unit size:
Documents |



