Formulation Supplied at 0.5 mg/ml in Tris saline, 0.02% sodium azide, pH7.3 with 0.5% bovine serum albumin.
| |
Unit Size 100 µg | |
Storage Instructions Aliquot and store at -20°C. Minimize freezing and thawing. | |
Synonym / Alias Names CNN3|calponin 3, acidic|calponin 3|calponin, acidic|dJ639P13.2.2 (acidic calponin 3) | |
Accession ID NP_001830.1 | |
Blocking Peptide EBP09526 | |
Immunogen Peptide with sequence C-HGEYQDDYPRDYQYS, from the C Terminus of the protein sequence according to NP_001830.1. | |
Peptide Sequence C-HGEYQDDYPRDYQYS | |
Purification Method Purified from goat serum by ammonium sulphate precipitation followed by antigen affinity chromatography using the immunizing peptide. | |
Shipping Instructions Refrigerated | |
Predicted Species Human | |
Reactive Species Human | |
Human Gene ID 1266 | |
Product Grade ![]() | |
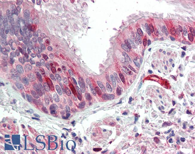
IHC Results Paraffin embedded Human Lung (Bronchus). Recommended concentration: 5µg/ml. | |
ELISA Detection Limit Antibody detection limit dilution 1:64000. | |
Western Blot Approx 37kDa band observed in Human Duodenum, Heart and Kidney lysates (calculated MW of 36.4kDa according to NP_001830.1). Recommended concentration: 0.2-0.6µg/ml. Primary incubation was 1 hour. | |
Application Type Pep-ELISA, WB, IHC |
Goat Anti-Calponin 3 / CNN3 Antibody
$431.00
| SKU | Unit Size | Price |
|---|---|---|
Select a unit size:
Documents |


