Formulation Supplied at 0.5 mg/ml in Tris saline, 0.02% sodium azide, pH7.3 with 0.5% bovine serum albumin.
| |
Unit Size 100 µg | |
Storage Instructions Aliquot and store at -20°C. Minimize freezing and thawing. | |
Synonym / Alias Names MGC138424|MGC138422|HGNC:1516|catalase|CAT | |
Accession ID NP_001743.1 | |
Blocking Peptide EBP07282 | |
Immunogen Peptide with sequence C-DKYNAEKPKNAIHT, from the internal region of the protein sequence according to NP_001743.1. | |
Peptide Sequence C-DKYNAEKPKNAIHT | |
Purification Method Purified from goat serum by ammonium sulphate precipitation followed by antigen affinity chromatography using the immunizing peptide. | |
Shipping Instructions Refrigerated | |
Predicted Species Human, Mouse, Dog | |
Reactive Species Human, Mouse | |
Human Gene ID 847 | |
Mouse Gene ID 12359 | |
Product Grade ![]() | |
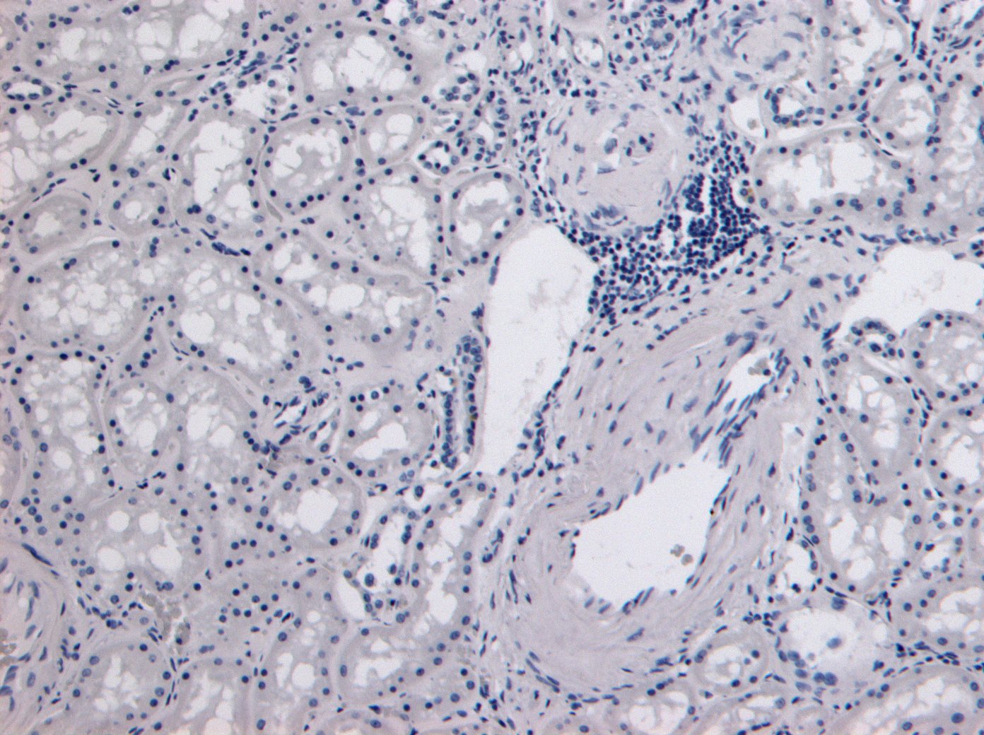
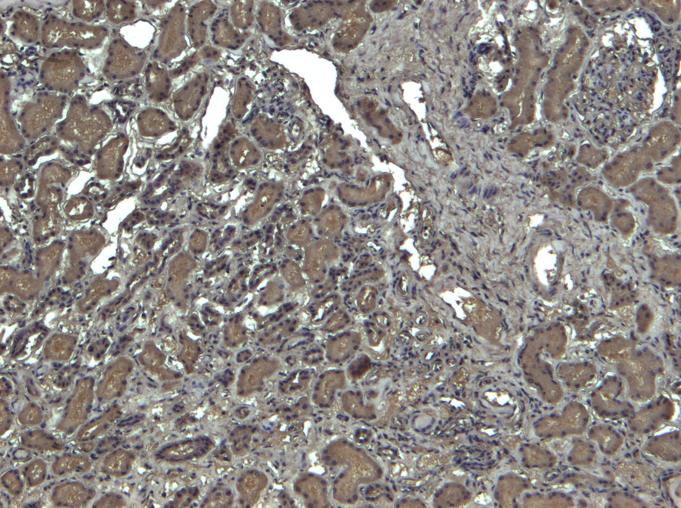
IHC Results Paraffin embedded Human Kidney. Recommended concentration: 4-6µg/ml. | |
ELISA Detection Limit Antibody detection limit dilution 1:128000. | |
Western Blot Approx 60kDa band observed in Human and Mouse Kidney and Liver lysates (calculated MW of 59.8kDa according to Human NP_001743.1 and Mouse NP_033934.2 ). Recommended concentration: 0.003-0.01µg/ml. Primary incubation 1 hour at room temperature. | |
Application Type Pep-ELISA, WB, IHC |
Goat Anti-Catalase / CAT Antibody
$431.00
| SKU | Unit Size | Price |
|---|---|---|
Select a unit size:
Selected References [{"pmid": 27890722, "intro": "This antibody (previous batch) has been successfully used in Western blot on Mouse:", "title": "Diabetes-induced hepatic oxidative stress: a new pathogenic role for glycated albumin.", "author": "Patche J, Girard D, Catan A, Boyer F, Dobi A, Planesse C, Diotel N, Guerin-Dubourg A, Baret P, Bravo SB, Paradela-Dobarro B, Álvarez E, Essop MF, Meilhac O, Bourdon E, Rondeau P.", "journal": "Free Radic Biol Med. 2017 Jan;102:133-148."}, {"pmid": 28543688, "intro": "This antibody (previous batch) has been successfully used in Western blot on Mouse:", "title": "Glycated human albumin alters mitochondrial respiration in preadipocyte 3T3-L1 cells.", "author": "Baret P, Le Sage F, Planesse C, Meilhac O, Devin A, Bourdon E, Rondeau P", "journal": "Biofactors. 2017 Jul 8;43(4):577-592."}] |
Documents |



