Formulation Supplied at 0.5 mg/ml in Tris saline, 0.02% sodium azide, pH7.3 with 0.5% bovine serum albumin.
| |
Unit Size 100 µg | |
Storage Instructions Aliquot and store at -20°C. Minimize freezing and thawing. | |
Synonym / Alias Names cysteine protease|cathepsin B1|amyloid precursor protein secretase|APP secretase|CPSB|APPS|cathepsin B|CTSB | |
Usage Summary Immunofluorescence: Strong expression of the protein seen in the cytoplasm/ vesicles of HeLa cells. Recommended concentration: 10µg/ml.
Flow Cytometry: Flow cytometric analysis of HeLa cells. Recommended concentration: 10ug/ml. | |
Accession ID NP_001899.1 | |
Blocking Peptide EBP11975 | |
Immunogen Peptide with sequence SDRICIHTNAHVSVE, from the internal region of the protein sequence according to NP_001899.1. | |
Product Comments Reported variants represent identical protein: NP_680091.1, NP_680090.1, NP_680092.1, NP_001899.1, NP_680093.1. | |
Peptide Sequence SDRICIHTNAHVSVE | |
Purification Method Purified from goat serum by ammonium sulphate precipitation followed by antigen affinity chromatography using the immunizing peptide. | |
Shipping Instructions Refrigerated | |
Predicted Species Human | |
Reactive Species Human | |
Human Gene ID 1508 | |
Product Grade ![]() | |
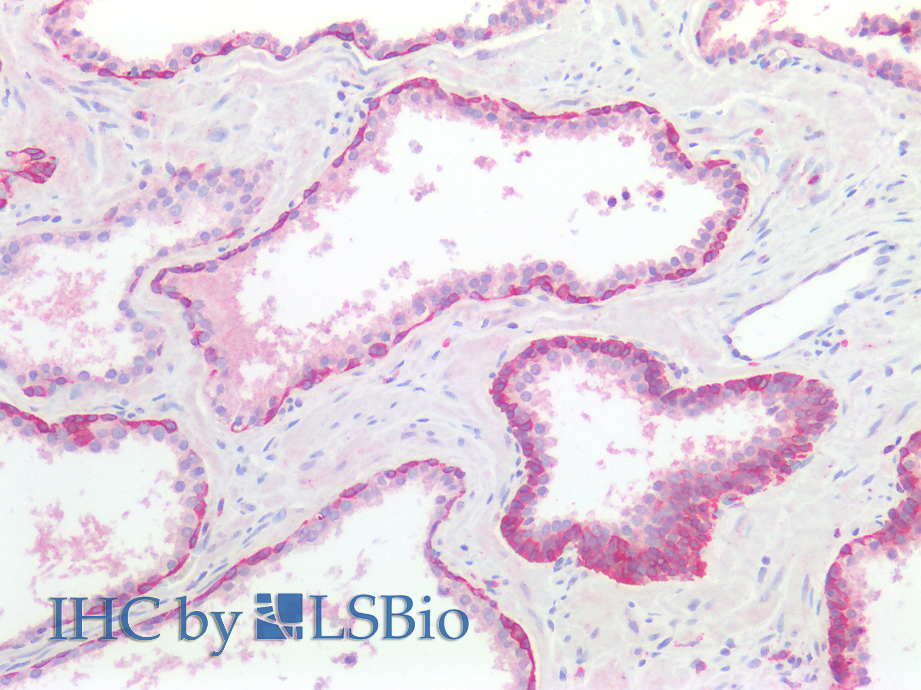
IHC Results Paraffin embedded Human Prostate. Recommended concentration: 5µg/ml. | |
ELISA Detection Limit Antibody detection limit dilution 1:64000. | |
Western Blot Approx 35kDa band observed in lysates of cell line HepG2 and in Human Lung, Human Colo-rectal carcinoma and Human Brain Glio-Blastoma cancer lysates (calculated MW of 37.8xkDa according to NP_001899.1). Recommended concentration: 0.5-2µg/ml. Primary incubation 1 hour at room temperature. | |
Application Type Pep-ELISA, WB, IF, IHC, FC |
Goat Anti-Cathepsin B Antibody
$431.00
| SKU | Unit Size | Price |
|---|---|---|
Select a unit size:





