Formulation Supplied at 0.5 mg/ml in Tris saline, 0.02% sodium azide, pH7.3 with 0.5% bovine serum albumin.
| |
Unit Size 100 µg | |
Storage Instructions Aliquot and store at -20°C. Minimize freezing and thawing. | |
Synonym / Alias Names CCT3|chaperonin containing TCP1, subunit 3 (gamma)|CCT-gamma|CCTG|PIG48|TCP-1-gamma|TRIC5|OTTHUMP00000025735|T-complex protein 1, gamma subunit|TCP1 (t-complex-1) ring complex, polypeptide 5|chaperonin containing TCP1, subunit 3 | |
Accession ID NP_005989.3; NP_001008883.1; NP_001008800.1 | |
Blocking Peptide EBP09403 | |
Immunogen Peptide with sequence C-GHKKKGDDQSRQGG, from the C-Terminus (near) of the protein sequence according to NP_005989.3; NP_001008883.1; NP_001008800.1. | |
Product Comments This antibody is expected to recognize all reported isoforms (NP_005989.3; NP_001008883.1; NP_001008800.1). | |
Peptide Sequence C-GHKKKGDDQSRQGG | |
Purification Method Purified from goat serum by ammonium sulphate precipitation followed by antigen affinity chromatography using the immunizing peptide. | |
Shipping Instructions Refrigerated | |
Predicted Species Human, Mouse, Rat, Pig, Cow, Dog | |
Reactive Species Human, Mouse | |
Human Gene ID 7203 | |
Mouse Gene ID 12462 | |
Rat Gene ID 295230 | |
Product Grade ![]() | |
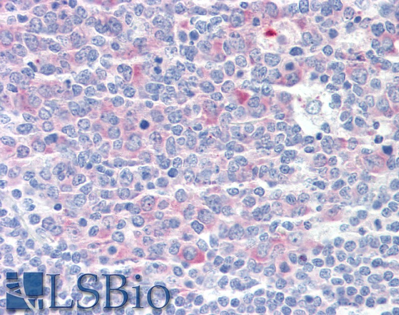
IHC Results Paraffin embedded Human Tonsil. Recommended concentration: 5µg/ml. | |
ELISA Detection Limit Antibody detection limit dilution 1:32000. | |
Western Blot Approx 65kDa band observed in Mouse Testis lysates (calculated MW of 60.5kDa according to Human NP_005989.3 and 60.6kDa according to Mouse NP_033966.1 and Rat NP_954522.1). Recommended concentration: 0.01-0.03µg/ml. | |
Application Type Pep-ELISA, WB, IHC |
Goat Anti-CCT3 / TCP1 Antibody
$431.00
| SKU | Unit Size | Price |
|---|---|---|
Select a unit size:
Documents |


