Formulation Supplied at 0.5 mg/ml in Tris saline, 0.02% sodium azide, pH7.3 with 0.5% bovine serum albumin.
| |
Unit Size 100 µg | |
Storage Instructions Aliquot and store at -20°C. Minimize freezing and thawing. | |
Synonym / Alias Names T-cell-specific surface glycoprotein| CD28 antigen (Tp44)| CD28 antigen| Tp44| MGC138290| CD28 molecule|CD28 | |
Accession ID NP_006130.1 | |
Blocking Peptide EBP10740 | |
Immunogen Peptide with sequence SQQLQVYSKTGFNCD, from the internal region of the protein sequence according to NP_006130.1. | |
Product Comments The immunizing peptide corresponds to a part of the extracellular domain. | |
Peptide Sequence SQQLQVYSKTGFNCD | |
Purification Method Purified from goat serum by ammonium sulphate precipitation followed by antigen affinity chromatography using the immunizing peptide. | |
Shipping Instructions Refrigerated | |
Predicted Species Human | |
Reactive Species Human | |
Human Gene ID 940 | |
Product Grade ![]() | |
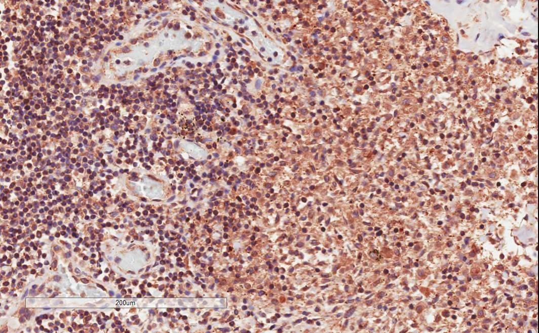
IHC Results In paraffin embedded Human Lymph Node shows membrane staining in the paracortex. Recommended concentration: 1-2µg/ml. | |
ELISA Detection Limit Antibody detection limit dilution 1:64000. | |
Western Blot Approx 48kDa band observed in Human Lymph Node and Tonsil lysates (calculated MW of 25.1kDa according to NP_006130.1). The observed molecular weight corresponds to the glycosylated form. Recommended concentration: 0.3-1µg/ml. Primary incubation was 1 hour. | |
Application Type Pep-ELISA, WB, IHC |
Goat Anti-CD28 Antibody
$431.00
| SKU | Unit Size | Price |
|---|---|---|
Select a unit size:
Documents |



