Formulation Supplied at 0.5 mg/ml in Tris saline, 0.02% sodium azide, pH7.3 with 0.5% bovine serum albumin.
| |
Unit Size 100 µg | |
Storage Instructions Aliquot and store at -20°C. Minimize freezing and thawing. | |
Synonym / Alias Names U5 snRNP 52K protein|CD2 cytoplasmic domain binding protein 2|CD2 binding protein 2|U5-52K|CD2 antigen (cytoplasmic tail)-binding protein 2|CD2 (cytoplasmic tail) binding protein 2|CD2 antigen (cytoplasmic tail) binding protein 2|Snu40|LIN1|FWP010|CD2BP2 | |
Accession ID NP_006101.1 | |
Blocking Peptide EBP06414 | |
Immunogen Peptide with sequence PKRKVTFQGVGDE-C, from the N Terminus of the protein sequence according to NP_006101.1. | |
Peptide Sequence PKRKVTFQGVGDE-C | |
Purification Method Purified from goat serum by ammonium sulphate precipitation followed by antigen affinity chromatography using the immunizing peptide. | |
Shipping Instructions Refrigerated | |
Predicted Species Human, Mouse, Rat, Dog, Cow | |
Reactive Species Human | |
Human Gene ID 10421 | |
Product Grade ![]() | |
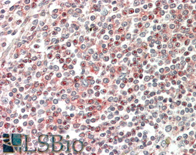
IHC Results In paraffin embedded Human Spleen shows nucleolar staining in select splenocytes. Recommended concentration: 5-10µg/ml. | |
ELISA Detection Limit Antibody detection limit dilution 1:32000. | |
Western Blot Approx 50kDa band observed in Human Lymph Node, Thymus and Tonsil lysates (calculated MW of 37.6kDa according to NP_006101.1). The observed molecular weight corresponds to earlier findings in literature with different antibodies (Nishizawa et al, Proc Natl Acad Sci U S A. 1998 Dec 8;95(25):14897-902). Recommended concentration: 0.3-1.0µg/ml. | |
Application Type Pep-ELISA, WB, IHC |
Goat Anti-CD2BP2 (N Terminus) Antibody
$431.00
| SKU | Unit Size | Price |
|---|---|---|
Select a unit size:
Documents |


