Formulation Supplied at 0.5 mg/ml in Tris saline, 0.02% sodium azide, pH7.3 with 0.5% bovine serum albumin.
| |
Unit Size 100 µg | |
Storage Instructions Aliquot and store at -20°C. Minimize freezing and thawing. | |
Synonym / Alias Names phagocytic glycoprotein 1|hyaluronate receptor|homing function and Indian blood group system|heparan sulfate proteoglycan|hematopoietic cell E- and L-selectin ligand|extracellular matrix receptor III|epican|chondroitin sulfate proteoglycan 8|cell surface glycoprotein CD44|Hermes antigen|GP90 lymphocyte homing/adhesion receptor|CD44 antigen|Pgp1|MIC4|MDU3|MDU2|MC56|LHR|IN|HUTCH-I|HCELL|ECMR-III|CSPG8|CDW44|CD44 molecule (Indian blood group)|CD44 | |
Accession ID NP_000601.3; NP_001001389.1; NP_001001390.1; NP_001001391.1; NP_001001392.1; NP_001189484.1; NP_001189485.1; NP_001189486.1 | |
Blocking Peptide EBP12255 | |
Immunogen Peptide with sequence C-NRDGTRYVQKGEYRT, from the internal region of the protein sequence according to NP_000601.3; NP_001001389.1; NP_001001390.1; NP_001001391.1; NP_001001392.1; NP_001189484.1; NP_001189485.1; NP_001189486.1. | |
Product Comments This antibody is expected to recognize reported isoforms 1, 2, 3, 4, 6, 7, 8 (NP_000601.3; NP_001001389.1; NP_001001390.1; NP_001001391.1; NP_001189484.1; NP_001189485.1; NP_001189486.1). | |
Peptide Sequence C-NRDGTRYVQKGEYRT | |
Purification Method Purified from goat serum by ammonium sulphate precipitation followed by antigen affinity chromatography using the immunizing peptide. | |
Shipping Instructions Refrigerated | |
Predicted Species Human | |
Reactive Species Human | |
Human Gene ID 960 | |
Product Grade ![]() | |
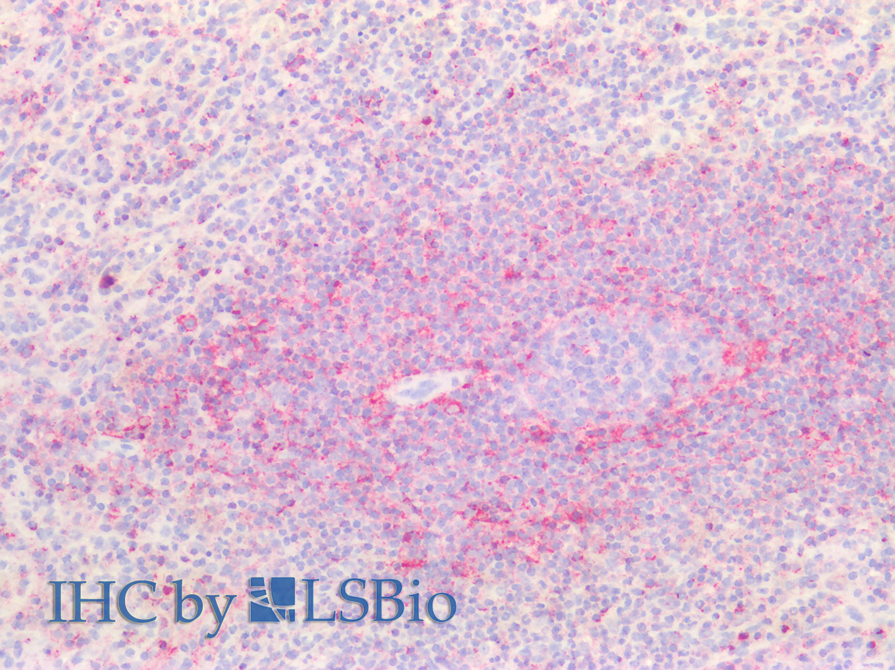
IHC Results Paraffin embedded Human Spleen. Recommended concentration: 5µg/ml. | |
ELISA Detection Limit Antibody detection limit dilution 1:128000. | |
Western Blot Approx 75-82kDa band observed in lysates of cell line U-2 OS (calculated MW of 81.5kDa according to NP_000601.3 and 76.6 according to NP_001001389.1). Recommended concentration: 0.01-0.03µg/ml. | |
Application Type Pep-ELISA, WB, IHC |
Goat Anti-CD44 Antibody
$431.00
| SKU | Unit Size | Price |
|---|---|---|
Select a unit size:
Documents |


