Formulation Supplied at 0.5 mg/ml in Tris saline, 0.02% sodium azide, pH7.3 with 0.5% bovine serum albumin.
| |
Unit Size 100 µg | |
Storage Instructions Aliquot and store at -20°C. Minimize freezing and thawing. | |
Synonym / Alias Names neural cell adhesion molecule, NCAM| antigen recognized by monoclonal antibody 5.1H11| NCAM-1| N-CAM-1| NCAM| MSK39| CD56| neural cell adhesion molecule 1|NCAM1 | |
Usage Summary Flow Cytometry: Flow cytometric analysis of U251 cells. Recommended concentration: 10ug/ml. | |
Accession ID NP_851996.2 | |
Blocking Peptide EBP10948 | |
Immunogen Peptide with sequence C-KASWTRPEKQETLD, from the internal region of the protein sequence according to NP_851996.2. | |
Product Comments This antibody is expected to recognize reported isoform 2 (NP_851996.2) only. | |
Peptide Sequence C-KASWTRPEKQETLD | |
Purification Method Purified from goat serum by ammonium sulphate precipitation followed by antigen affinity chromatography using the immunizing peptide. | |
Shipping Instructions Refrigerated | |
Predicted Species Human, Rat, Pig, Cow | |
Reactive Species Human | |
Human Gene ID 4684 | |
Rat Gene ID 24586 | |
Product Grade ![]() | |
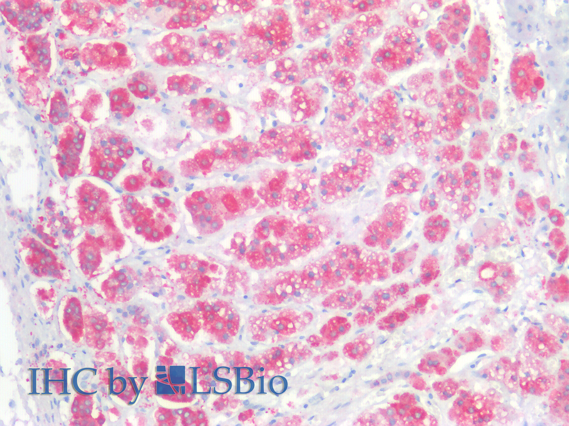
IHC Results Paraffin embedded Human Adrenal Gland. Recommended concentration: 5µg/ml. | |
ELISA Detection Limit Antibody detection limit dilution 1:32000. | |
Western Blot Approx 150-170kDa band observed in Human Cerebellum and Frontal Cortex lysates (calculated MW of 94.6kDa according to NP_851996.2). The observed molecular weight corresponds to the glycosylated form and is routinely observed by other sources. Recommended concentration: 0.03-0.3µg/ml. Primary incubation 1 hour at room temperature. | |
Application Type Pep-ELISA, WB, IHC, FC |
Goat Anti-CD56 / NCAM1 (isoform 2) Antibody
$431.00
| SKU | Unit Size | Price |
|---|---|---|
Select a unit size:
Documents |



