Formulation Supplied at 0.5 mg/ml in Tris saline, 0.02% sodium azide, pH7.3 with 0.5% bovine serum albumin.
| |
Unit Size 100 µg | |
Storage Instructions Aliquot and store at -20°C. Minimize freezing and thawing. | |
Synonym / Alias Names gamma chain of class II antigens| MHC HLA-DR gamma chain| Ia-associated invariant chain| HLA-DR-gamma| CD74 antigen (invariant polypeptide of major histocompatibility complex, class II antigen-associated)| CD74 antigen| CD74 molecule, major histocompatibility complex, class II invariant chain| Ia-GAMMA| HLADG| DHLAG|CD74 | |
Accession ID NP_001020330.1; NP_004346.1; NP_001351012.1 | |
Blocking Peptide EBP12552 | |
Immunogen Peptide with sequence C-HSLEQKPTDAPPK, from the internal region of the protein sequence according to NP_001020330.1; NP_004346.1; NP_001351012.1. | |
Product Comments This antibody is expected to recognize isoform a (NP_001020330., isoform b (NP_004346.1 and NP_001351012.1 isoform d. | |
Peptide Sequence C-HSLEQKPTDAPPK | |
Purification Method Purified from goat serum by ammonium sulphate precipitation followed by antigen affinity chromatography using the immunizing peptide. | |
Shipping Instructions Refrigerated | |
Predicted Species Human | |
Reactive Species Human | |
Product Grade ![]() | |
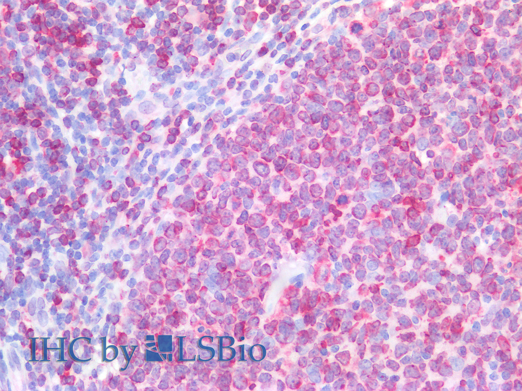
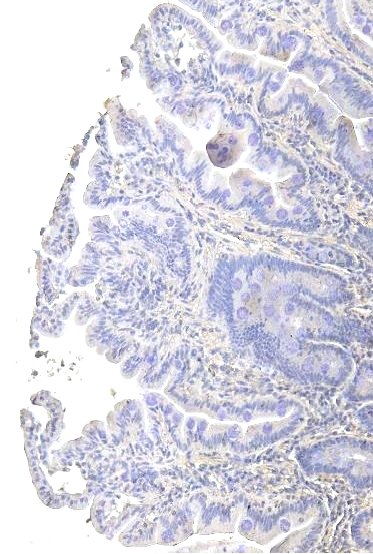
IHC Results Paraffin embedded Human Tonsil and Small Intestine. Recommended concentration: 5-7µg/ml. | |
ELISA Detection Limit Antibody detection limit dilution 1:128000. | |
Application Type Pep-ELISA, IHC |
Goat Anti-CD74 Antibody
$431.00
| SKU | Unit Size | Price |
|---|---|---|
Select a unit size:
Selected References [{"pmid": 30353480, "intro": "This antibody has been successfully used in Western blot:", "title": "Increased CD74 binding and EAE treatment efficacy of a modified DR?1 molecular construct.", "author": "Meza-Romero R, Benedek G, Gerstner G, Kent G, Nguyen H, Offner H, Vandenbark AA", "journal": "Metab Brain Dis. 2019 Feb;34(1):153-164"}] |
Documents |



