Formulation Supplied at 0.5 mg/ml in Tris saline, 0.02% sodium azide, pH7.3 with 0.5% bovine serum albumin.
| |
Unit Size 100 µg | |
Storage Instructions Aliquot and store at -20°C. Minimize freezing and thawing. | |
Synonym / Alias Names Thy-1 membrane glycoprotein|Thy-1 T-cell antigen|FLJ33325|CD90|Thy-1 cell surface antigen|THY1 | |
Accession ID NP_006279.2 | |
Blocking Peptide EBP09463 | |
Immunogen Peptide with sequence C-PEHTYRSRTNFTSKY, from the internal region of the protein sequence according to NP_006279.2. | |
Peptide Sequence C-PEHTYRSRTNFTSKY | |
Purification Method Purified from goat serum by ammonium sulphate precipitation followed by antigen affinity chromatography using the immunizing peptide. | |
Shipping Instructions Refrigerated | |
Predicted Species Human, Dog, Pig | |
Reactive Species Human | |
Human Gene ID 7070 | |
Product Grade ![]() | |
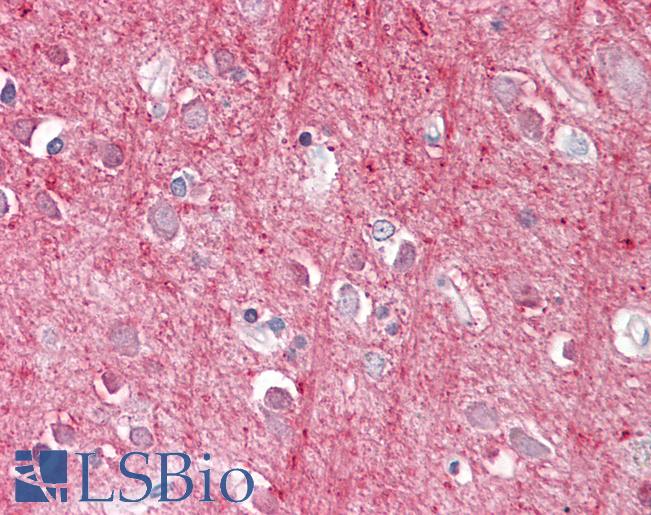
IHC Results Paraffin embedded Human Brain (Cortex). Recommended concentration: 3.75µg/ml. | |
ELISA Detection Limit Antibody detection limit dilution 1:64000. | |
Western Blot Approx 26kDa band observed in Human Brain (Cerebellum) and Human Tonsil lysates (calculated MW of 17.9kDa according to NP_006279.2). This molecular weight is routinely observed by other sources. Recommended concentration: 0.1-0.3µg/ml. Primary incubation was 1 hour. | |
Application Type Pep-ELISA, WB, IHC |
Goat Anti-CD90 / Thy1 Antibody
$431.00
| SKU | Unit Size | Price |
|---|---|---|
Select a unit size:
Documents |


