Formulation Supplied at 0.5 mg/ml in Tris saline, 0.02% sodium azide, pH7.3 with 0.5% bovine serum albumin.
| |
Unit Size 100 µg | |
Storage Instructions Aliquot and store at -20°C. Minimize freezing and thawing. | |
Synonym / Alias Names TERA| p97| valosin containing protein| transitional endoplasmic reticulum ATPase|YDL126C|VCP|transitional endoplasmic reticulum ATPase|CDC48p|CDC48 | |
Usage Summary Additional validation: This antibody has been successfully used in the following paper: Sikorski et al. (2018) PMID: 30377371. | |
Accession ID NP_010157.1 | |
Blocking Peptide EBP11800 | |
Immunogen Peptide with sequence C-HTKNMKLADDVDLE, from the internal region of the protein sequence according to NP_010157.1. | |
Product Comments This antibody may cross react in many other species. | |
Peptide Sequence C-HTKNMKLADDVDLE | |
Purification Method Purified from goat serum by ammonium sulphate precipitation followed by antigen affinity chromatography using the immunizing peptide. | |
Shipping Instructions Refrigerated | |
Predicted Species Saccharomyces cerevisiae S288c; Human, Mouse, Rat, Dog, Cow | |
Reactive Species Human | |
Human Gene ID 7415 | |
Mouse Gene ID 269523 | |
Rat Gene ID 116643 | |
Product Grade ![]() | |
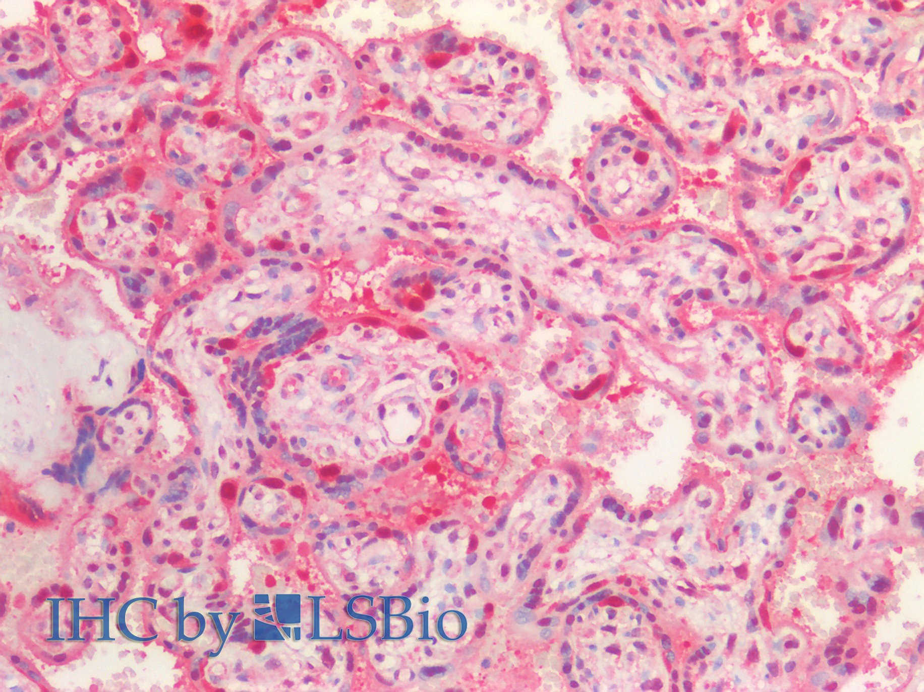
IHC Results Paraffin embedded Human Placenta. Recommended concentration: 5µg/ml. | |
ELISA Detection Limit Antibody detection limit dilution 1:128000. | |
Western Blot Approx 100kDa band observed in lysates of cell line HeLa (calculated MW of 92.0kDa according to NP_010157.1). Recommended concentration: 0.01-0.03µg/ml. | |
Application Type Pep-ELISA, WB, IHC |
Goat Anti-CDC48 / YDL126C Antibody
$431.00
| SKU | Unit Size | Price |
|---|---|---|
Select a unit size:
Selected References [{"pmid": 30377371, "intro": "This antibody has been successfully used in the following paper:", "title": "A high-throughput pipeline for validation of antibodies", "author": "Krzysztof Sikorski, Adi Mehta, Marit Inngjerdingen, Flourina Thakor, Simon Kling, Tomas Kalina, Tuula A. Nyman, Maria Ekman Stensland, Wei Zhou, Gustavo A. De Souza, Lars Holden, Jan Stuchly, Markus Templin and Fridtjof Lund-Johansen", "journal": "Nat Methods. 2018 Nov;15(11):909-912"}] |
Documents |


