Formulation Supplied at 0.5 mg/ml in Tris saline, 0.02% sodium azide, pH7.3 with 0.5% bovine serum albumin.
| |
Unit Size 100 µg | |
Storage Instructions Aliquot and store at -20°C. Minimize freezing and thawing. | |
Synonym / Alias Names transmembrane and associated with src kinases|CUB domain-containing protein 1|TRASK|SIMA135|CD318|HGNC:24357|CUB domain containing protein 1|CDCP1 | |
Accession ID NP_073753.3 | |
Blocking Peptide EBP05267 | |
Immunogen Peptide with sequence C-PLLNTQEPMEPAE, from the C Terminus of the protein sequence according to NP_073753.3. | |
Product Comments This antibody is expected to recognize isoform 1 (NP_073753.3) only. | |
Peptide Sequence C-PLLNTQEPMEPAE | |
Purification Method Purified from goat serum by ammonium sulphate precipitation followed by antigen affinity chromatography using the immunizing peptide. | |
Shipping Instructions Refrigerated | |
Predicted Species Human | |
Reactive Species Human | |
Human Gene ID 64866 | |
Product Grade ![]() | |
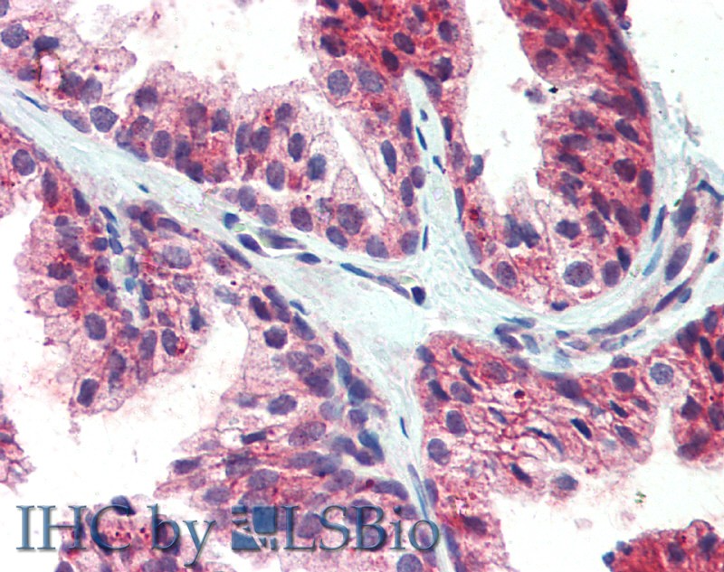
IHC Results Paraffin embedded Human Prostate. Recommended concentration: 5µg/ml. | |
ELISA Detection Limit Antibody detection limit dilution 1:32000. | |
Western Blot Approx 90kDa band observed in Human Colon lysates (calculated MW of 92.3kDa according to NP_073753.3). Recommended concentration: 1-3µg/ml.
An additional band of unknown identity was also consistently observed at 200kDa. This band was successfully blocked by incubation with the immunising peptide. Primary incubation was 1 hour. | |
Application Type Pep-ELISA, WB, IHC |
Goat Anti-CDCP1 (isoform 1: C term) Antibody
$431.00
| SKU | Unit Size | Price |
|---|---|---|
Select a unit size:
Documents |


