Formulation Supplied at 0.5 mg/ml in Tris saline, 0.02% sodium azide, pH7.3 with 0.5% bovine serum albumin.
| |
Unit Size 100 µg | |
Storage Instructions Aliquot and store at -20°C. Minimize freezing and thawing. | |
Synonym / Alias Names CDX3|CDX-3|HGNC:1806|caudal type homeo box transcription factor 2|CDX2 | |
Accession ID NP_001256.1 | |
Blocking Peptide EBP07190 | |
Immunogen Peptide with sequence EQLSPGGQRRNLCE, from the internal region of the protein sequence according to NP_001256.1. | |
Product Comments No cross-reactivity expected with CDX1 and 4 | |
Peptide Sequence EQLSPGGQRRNLCE | |
Purification Method Purified from goat serum by ammonium sulphate precipitation followed by antigen affinity chromatography using the immunizing peptide. | |
Shipping Instructions Refrigerated | |
Predicted Species Human, Mouse, Rat, Dog | |
Reactive Species Human | |
Human Gene ID 1045 | |
Mouse Gene ID 12591 | |
Rat Gene ID 66019 | |
Product Grade ![]() | |
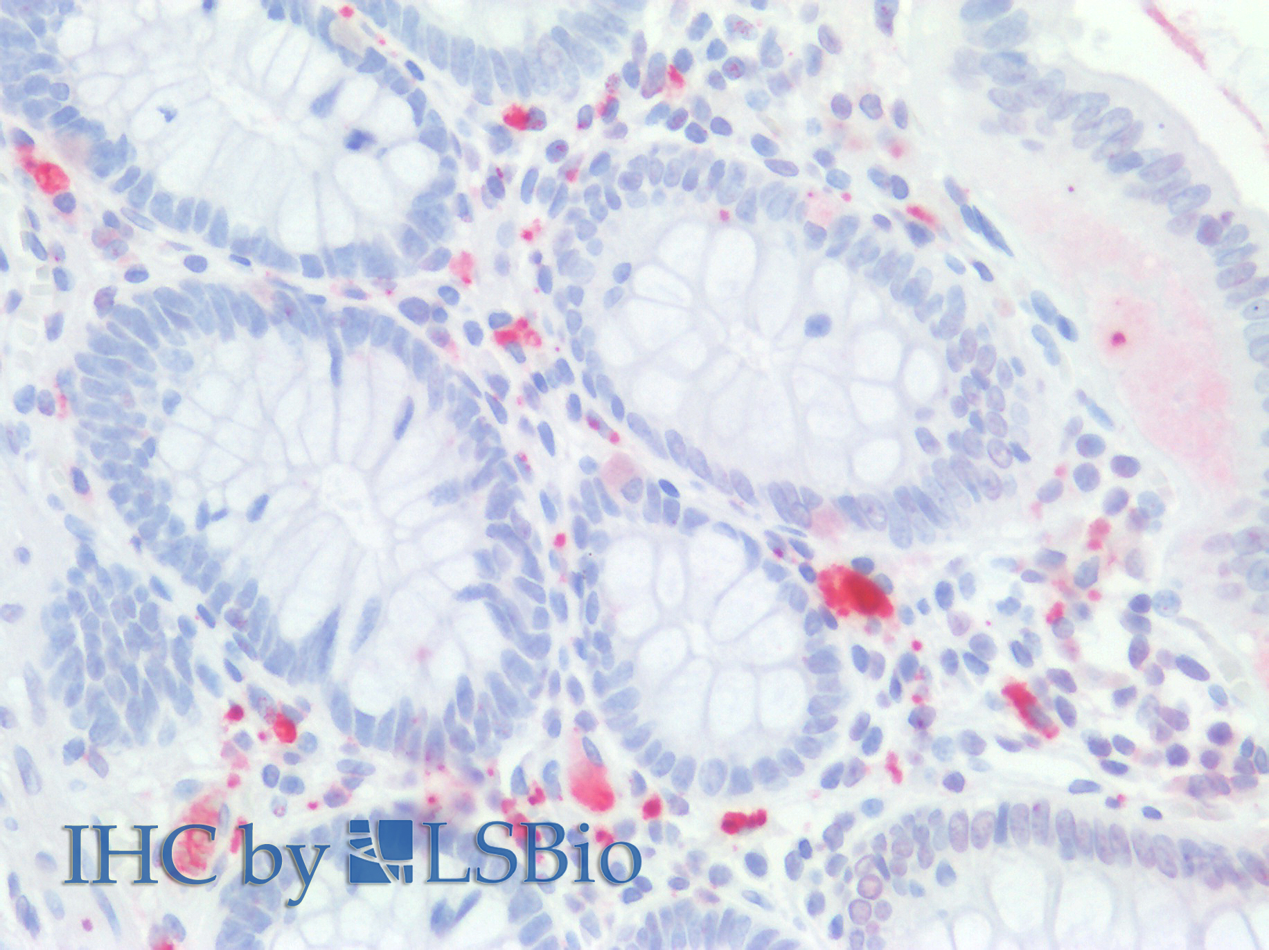
IHC Results Paraffin embedded Human Colon. Recommended concentration: 5µg/ml. | |
ELISA Detection Limit Antibody detection limit dilution 1:4000. | |
Western Blot Approx 35kDa band observed in Human Colon lysates (calculated MW of 33.5kDa according to NP_001256.1). Recommended concentration: 1-3µg/ml. Primary incubation was 1 hour. | |
Application Type Pep-ELISA, WB, IHC |
Goat Anti-CDX2 Antibody
$431.00
| SKU | Unit Size | Price |
|---|---|---|
Select a unit size:
Documents |


