Formulation Supplied at 0.5 mg/ml in Tris saline, 0.02% sodium azide, pH7.3 with 0.5% bovine serum albumin.
| |
Unit Size 100 µg | |
Storage Instructions Aliquot and store at -20°C. Minimize freezing and thawing. | |
Synonym / Alias Names ArfGAP with coiled-coil, ankyrin repeat and PH domains 2|Arf GAP with coiled coil, ANK repeat and PH domains 2|centaurin beta2|KIAA0041|CNT-B2|centaurin, beta 2|CENTB2|ACAP2 | |
Accession ID NP_036419.3 | |
Blocking Peptide EBP06123 | |
Immunogen Peptide with sequence C-EKLNRFQQDSQKF, from the C Terminus of the protein sequence according to NP_036419.3. | |
Peptide Sequence C-EKLNRFQQDSQKF | |
Purification Method Purified from goat serum by ammonium sulphate precipitation followed by antigen affinity chromatography using the immunizing peptide. | |
Shipping Instructions Refrigerated | |
Predicted Species Human, Mouse, Rat, Dog, Pig | |
Reactive Species Human, Mouse, Rat | |
Human Gene ID 23527 | |
Mouse Gene ID 78618 | |
Product Grade ![]() | |
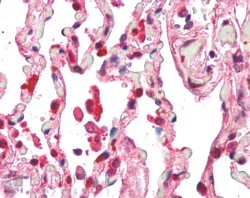
IHC Results In paraffin embedded Human Lung shows strong staining of Type II pneumocytes. Recommended concentration, 5-10µg/ml. | |
ELISA Detection Limit Antibody detection limit dilution 1:32000. | |
Western Blot Approx 90kDa band observed in Mouse and Rat Lung lysates and in lysates of cell lines MOLT4 and NIH3T3 (calculated MW of 88.1kDa according to Human NP_036419 and 87.2kDa according to Mouse NP_084414.1 and Rat NP_001029178.1). Recommended concentration: 0.3-1µg/ml. | |
Application Type Pep-ELISA, WB, IHC |
Goat Anti-CENTB2 / ACAP2 Antibody
$431.00
| SKU | Unit Size | Price |
|---|---|---|
Select a unit size:
Documents |




