Formulation Supplied at 0.5 mg/ml in Tris saline, 0.02% sodium azide, pH7.3 with 0.5% bovine serum albumin.
| |
Unit Size 100 µg | |
Storage Instructions Aliquot and store at -20°C. Minimize freezing and thawing. | |
Synonym / Alias Names OTTHUMP00000211462|ArfGAP with RhoGAP domain, ankyrin repeat and PH domain 1|ARF-GAP, RHO-GAP, ankyrin repeat, and pleckstrin homology domains-containing protein 1|KIAA0782|centaurin, delta 2|CENTD2|ARAP1 | |
Accession ID NP_056057.2; NP_001035207.1; NP_001128662.1 | |
Blocking Peptide EBP06126 | |
Immunogen Peptide with sequence C-AFTADPLSLLRNV, from the C Terminus of the protein sequence according to NP_056057.2; NP_001035207.1; NP_001128662.1. | |
Product Comments This antibody is expected to recognise isoform a (NP_056057.2), isoform c (NP_001035207.1) and isoform d (NP_001128662.1). | |
Peptide Sequence C-AFTADPLSLLRNV | |
Purification Method Purified from goat serum by ammonium sulphate precipitation followed by antigen affinity chromatography using the immunizing peptide. | |
Shipping Instructions Refrigerated | |
Predicted Species Human, Mouse, Rat, Dog, Pig, Cow | |
Reactive Species Human, Mouse | |
Human Gene ID 116985 | |
Mouse Gene ID 69710 | |
Product Grade ![]() | |
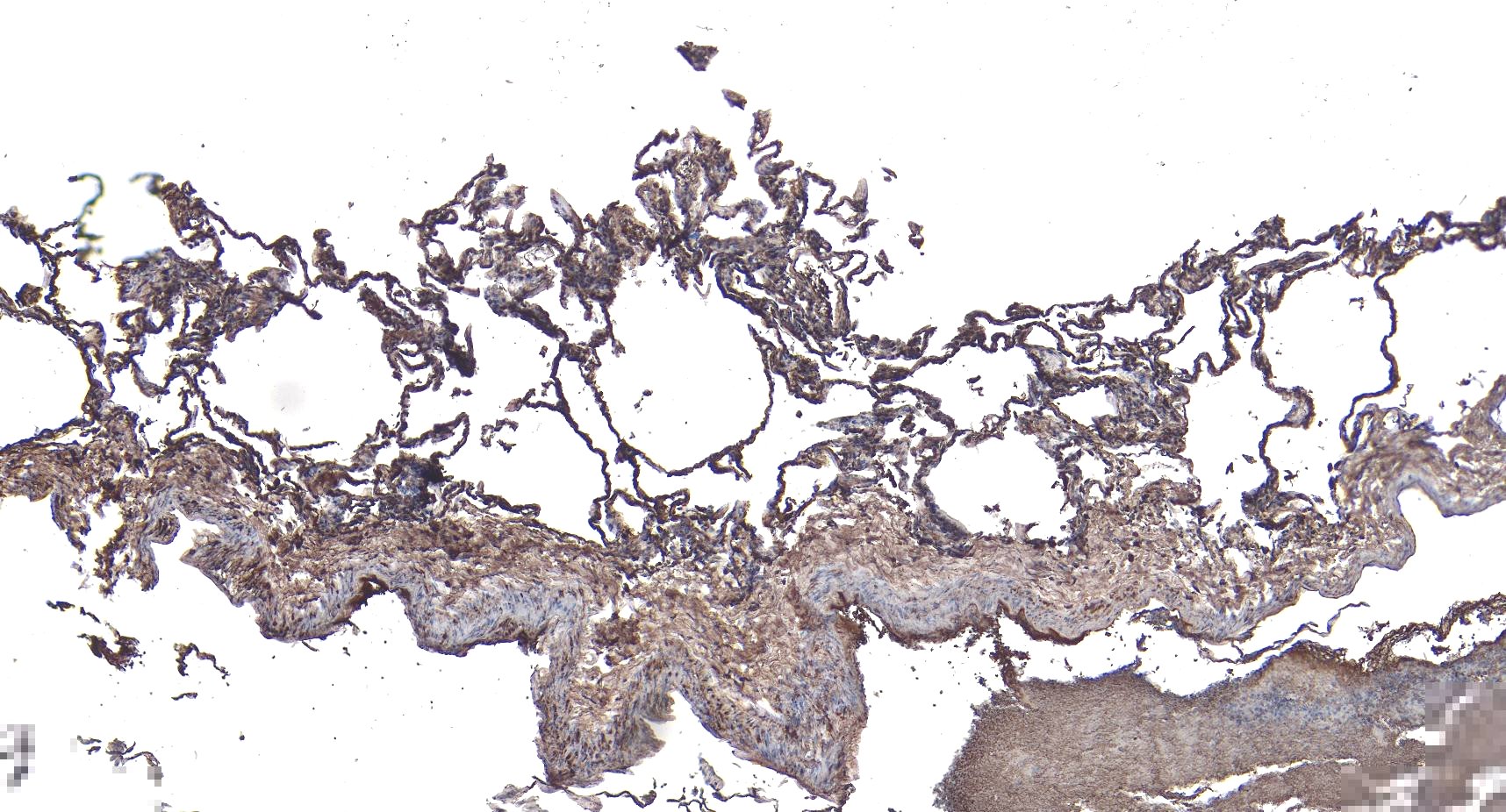
IHC Results Paraffin embedded Human Lung. Recommended concentration: 6-8µg/ml. | |
ELISA Detection Limit Antibody detection limit dilution 1:32000. | |
Western Blot This antibody showed a 150KDa in NIH3T3 lysates. | |
Application Type Pep-ELISA, WB, IHC |
Goat Anti-CENTD2 / ARAP1 Antibody
$431.00
| SKU | Unit Size | Price |
|---|---|---|
Select a unit size:
Documents |


