Formulation Supplied at 0.5 mg/ml in Tris saline, 0.02% sodium azide, pH7.3 with 0.5% bovine serum albumin.
| |
Unit Size 100 µg | |
Storage Instructions Aliquot and store at -20°C. Minimize freezing and thawing. | |
Synonym / Alias Names monocyte/macrophage serine-esterase 1|triacylglycerol hydrolase|liver carboxylesterase|egasyn|cholesteryl ester hydrolase|carboxylesterase 2 (liver)|carboxylesterase 1|acyl coenzyme A:cholesterol acyltransferase|TGH|SES1|PCE-1|MGC117365|HMSE1|HMSE|CES2|CEH|ACAT|carboxylesterase 1 (monocyte/macrophage serine esterase 1)|CES1 | |
Accession ID NP_001020366.1; NP_001020365.1; NP_001257.4 | |
Blocking Peptide EBP08405 | |
Immunogen Peptide with sequence C-NTQAAQKLKDKE, from the internal region (near C terminus) of the protein sequence according to NP_001020366.1; NP_001020365.1; NP_001257.4. | |
Product Comments This antibody is expected to recognise all three reported isoforms (NP_001020366.1; NP_001020365.1; NP_001257.4). | |
Peptide Sequence C-NTQAAQKLKDKE | |
Purification Method Purified from goat serum by ammonium sulphate precipitation followed by antigen affinity chromatography using the immunizing peptide. | |
Shipping Instructions Refrigerated | |
Predicted Species Human | |
Reactive Species Human | |
Human Gene ID 1066 | |
Product Grade ![]() | |
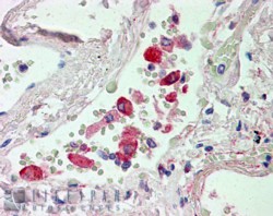
IHC Results In paraffin embedded Human Lung shows staining of lymphocytes in the vasculature.. Recommended concentration, 2-3µg/ml. | |
ELISA Detection Limit Antibody detection limit dilution 1:8000. | |
Western Blot Approx. 60kDa band observed in lysates of cell line THP-1, approx. 55kDa in Human Duodenum lysates, and approx. 55-60kDa in Human Liver lysates (calculated MW of 62.6kDa according to NP_001020366.1). These molecular weights are observed by other commercial sources. Recommended concentration: 0.5-1ug/ml. Primary incubation 1 hour at room temperature. | |
Application Type Pep-ELISA, WB, IHC |
Goat Anti-CES1 Antibody
$431.00
| SKU | Unit Size | Price |
|---|---|---|
Select a unit size:
Documents |



