Formulation Supplied at 0.5 mg/ml in Tris saline, 0.02% sodium azide, pH7.3 with 0.5% bovine serum albumin.
| |
Unit Size 100 µg | |
Storage Instructions Aliquot and store at -20°C. Minimize freezing and thawing. | |
Synonym / Alias Names NCIE2|MGC8731|IECN2|CDS|bhydrolase domain containing 5|aCGI58|CGI58 protein|ABHD5 | |
Usage Summary Immunofluorescence: Strong expression of the protein seen in the nuclei and cytoplasm/ vesicles of U2OS cells. Recommended concentration: 10µg/ml. | |
Accession ID NP_057090.2 | |
Blocking Peptide EBP07657 | |
Immunogen Peptide with sequence C-FPERPDLADQDR, from the internal region of the protein sequence according to NP_057090.2. | |
Product Comments This antibody is not expected to cross-react with ABHD4. | |
Peptide Sequence C-FPERPDLADQDR | |
Purification Method Purified from goat serum by ammonium sulphate precipitation followed by antigen affinity chromatography using the immunizing peptide. | |
Shipping Instructions Refrigerated | |
Predicted Species Human, Mouse, Rat, Dog | |
Reactive Species Human, Mouse | |
Human Gene ID 51099 | |
Mouse Gene ID 67469 | |
Rat Gene ID 316122 | |
Product Grade ![]() | |
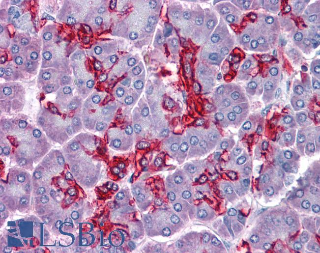
IHC Results Paraffin embedded Human Pancreas and Kidney. Recommended concentration: 3.75µg/ml. | |
ELISA Detection Limit Antibody detection limit dilution 1:16000. | |
Western Blot Approx 40kDa band observed in lysates of cell lines NIH3T3/3TL (calculated MW of 39.1kDa according to NP_057090.2). Additional faint bands of 26kDa and 18kDa were also observed, and were successfully blocked by incubation with the immunizing peptide. Recommended concentration: 0.2-0.6µg/ml Primary incubation 1 hour at room temperature. | |
Application Type Pep-ELISA, WB, IF, IHC |
Goat Anti-CGI58 / ABHD5 Antibody
$431.00
| SKU | Unit Size | Price |
|---|---|---|
Select a unit size:
Selected References [{"pmid": 21426973, "intro": "This antibody has been successfully used in Western blot on Cow:", "title": "Coordination of lipid droplet-associated proteins during the transition period of Holstein dairy cows.", "author": "Koltes DA, Spurlock DM.", "journal": "J Dairy Sci. 2011 Apr;94(4):1839-48."}] |
Documents |




