Formulation Supplied at 0.5 mg/ml in Tris saline, 0.02% sodium azide, pH7.3 with 0.5% bovine serum albumin.
| |
Unit Size 100 µg | |
Storage Instructions Aliquot and store at -20°C. Minimize freezing and thawing. | |
Synonym / Alias Names regulatory nuclear chloride ion channe|p64CLCP|nuclear chloride ion channel protein|nuclear chloride ion channel 27|hRNCC|chloride intracellular channel protein 1|chloride channel ABP|RNCC protein|NCC27|G6|chloride intracellular channel 1|CLIC1 | |
Accession ID NP_001279.2 | |
Blocking Peptide EBP12399 | |
Immunogen Peptide with sequence C-TEVHTDTNKIEE, from the internal region of the protein sequence according to NP_001279.2. | |
Peptide Sequence C-TEVHTDTNKIEE | |
Purification Method Purified from goat serum by ammonium sulphate precipitation followed by antigen affinity chromatography using the immunizing peptide. | |
Shipping Instructions Refrigerated | |
Predicted Species Human, Mouse, Rat, Dog, Pig, Cow | |
Reactive Species Human | |
Human Gene ID 1192 | |
Mouse Gene ID 114584 | |
Rat Gene ID 406864 | |
Product Grade ![]() | |
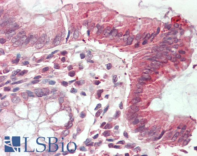
IHC Results Paraffin embedded Human Colon. Recommended concentration: 5µg/ml. | |
ELISA Detection Limit Antibody detection limit dilution 1:32000. | |
Western Blot Approx 30kDa band observed in lysates of cell line U937 (calculated MW of 26.9kDa according to NP_001279.2). Recommended concentration: 1-3µg/ml. Primary incubation was 1 hour. | |
Application Type Pep-ELISA, WB, IHC |
Goat Anti-CLIC1 / NCC27 Antibody
$423.00
| SKU | Unit Size | Price |
|---|---|---|
Select a unit size:
Documents |


