Formulation Supplied at 0.5 mg/ml in Tris saline, 0.02% sodium azide, pH7.3 with 0.5% bovine serum albumin.
| |
Unit Size 100 µg | |
Storage Instructions Aliquot and store at -20°C. Minimize freezing and thawing. | |
Synonym / Alias Names chloride intracellular channel 4 like|p64H1|huH1|H1|FLJ38640|DKFZP566G223|CLIC4L|chloride intracellular channel 4|CLIC4 | |
Usage Summary Immunofluorescence: Min6 cells transiently expressing mouse Clic4 shows cytoplasmic staining of two cells. Recommended concentration, 5µg/ml with overnight incubation. | |
Accession ID NP_039234.1 | |
Blocking Peptide EBP07738 | |
Immunogen Peptide with sequence NGLKEEDKEPLIE-C, from the N Terminus of the protein sequence according to NP_039234.1. | |
Peptide Sequence NGLKEEDKEPLIE-C | |
Purification Method Purified from goat serum by ammonium sulphate precipitation followed by antigen affinity chromatography using the immunizing peptide. | |
Shipping Instructions Refrigerated | |
Predicted Species Human, Mouse, Rat, Dog | |
Reactive Species Human, Mouse | |
Human Gene ID 25932 | |
Mouse Gene ID 29876 | |
Rat Gene ID 83718 | |
Product Grade ![]() | |
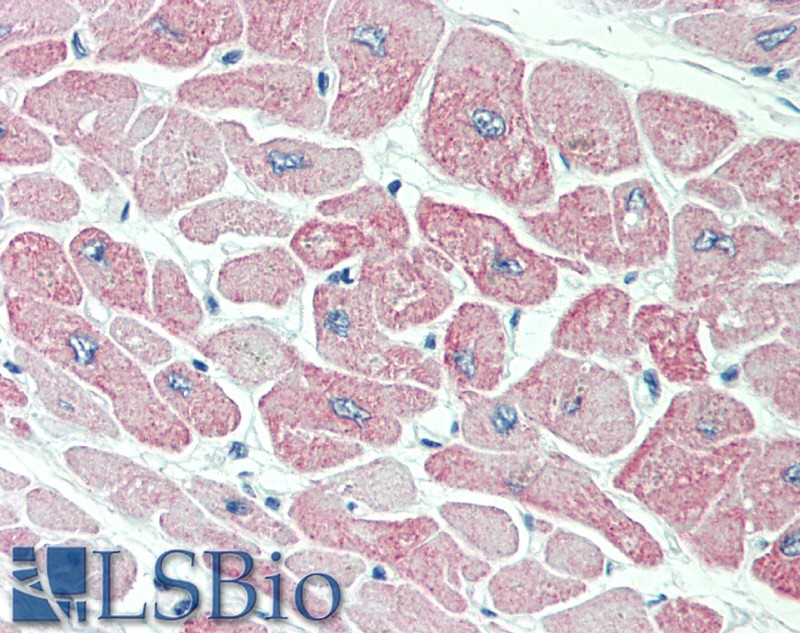
IHC Results Paraffin embedded Human Heart. Recommended concentration: 5µg/ml. | |
ELISA Detection Limit Antibody detection limit dilution 1:64000. | |
Western Blot Approx 30kDa band observed in Human Kidney and Placenta lysates (calculated MW of 28.8kDa according to NP_039234.1). The observed molecular weight corresponds to earlier findings in literature with different antibodies (Edwards et al, Am J Physiol. 1999 Mar;276(3 Pt 2):F398-408.; PMID: 10070163). Recommended concentration: 0.1-0.3µg/ml. | |
Application Type Pep-ELISA, WB, IHC, IF |
Goat Anti-CLIC4 Antibody
$431.00
| SKU | Unit Size | Price |
|---|---|---|
Select a unit size:
Documents |



