Formulation Supplied at 0.5 mg/ml in Tris saline, 0.02% sodium azide, pH7.3 with 0.5% bovine serum albumin.
| |
Unit Size 100 µg | |
Storage Instructions Aliquot and store at -20°C. Minimize freezing and thawing. | |
Synonym / Alias Names enigma|elfin|PDZ and LIM domain 1|carboxy terminal LIM domain protein 1|PDZ and LIM domain 1 (elfin)|hCLIM1|CLP-36|ELFIN|CLP36|CLIM1|PDLIM1 | |
Accession ID NP_066272.1 | |
Blocking Peptide EBP06229 | |
Immunogen Peptide with sequence C-TPPEGYEVVTVFPK, from the C Terminus of the protein sequence according to NP_066272.1. | |
Peptide Sequence C-TPPEGYEVVTVFPK | |
Purification Method Purified from goat serum by ammonium sulphate precipitation followed by antigen affinity chromatography using the immunizing peptide. | |
Shipping Instructions Refrigerated | |
Predicted Species Human | |
Reactive Species Human | |
Human Gene ID 9124 | |
Product Grade ![]() | |
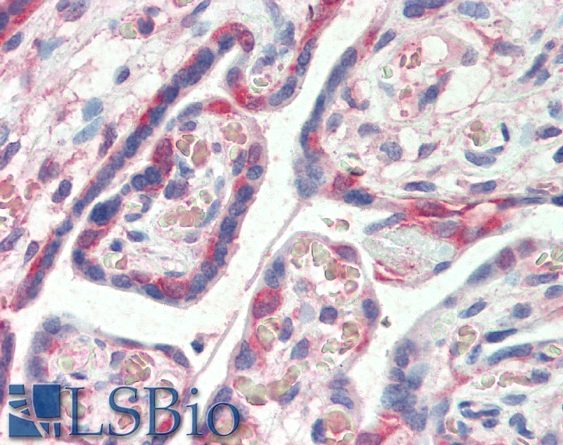
IHC Results Paraffin embedded Human Placenta. Recommended concentration: 5µg/ml. | |
ELISA Detection Limit Antibody detection limit dilution 1:64000. | |
Western Blot Approx 37kDa band observed in Human Lung lysate (calculated MW of 36.1kDa according to NP_066272.1). Recommended concentration: 0.1-0.3µg/ml. | |
Application Type Pep-ELISA, WB, IHC |
Goat Anti-CLIM1 / PDLIM1 Antibody
$431.00
| SKU | Unit Size | Price |
|---|---|---|
Select a unit size:
Documents |


