Formulation Supplied at 0.5 mg/ml in Tris saline, 0.02% sodium azide, pH7.3 with 0.5% bovine serum albumin.
| |
Unit Size 100 µg | |
Storage Instructions Aliquot and store at -20°C. Minimize freezing and thawing. | |
Synonym / Alias Names clusterin (complement lysis inhibitor, SP-40, 40, sulfated glycoprotein 2, testosterone-repressed prostate message 2, apolipoprotein J)|aging-associated protein 4|KUB1|AAG4|sulfated glycoprotein 2|complement-associated protein SP-40|clusterin|apolipoprotein J|TRPM2|TRPM-2|SP-40|SGP2|SGP-2|MGC24903|CLI|HGNC:2095|apolipoprotein J|testosterone-repressed prostate message 2|sulfated glycoprotein 2|SP-40, 40|complement lysis inhibitor|CLU|clusterin|APOJ | |
Usage Summary Immunofluorescence: Strong expression of the protein seen in the cytoplasm of HeLa cells. Recommended concentration: 10µg/ml | |
Accession ID NP_001822.2; NP_976084.1 | |
Blocking Peptide EBP06929 | |
Immunogen Peptide with sequence C-EKALQEYRKKHREE, from the C Terminus of the protein sequence according to NP_001822.2; NP_976084.1. | |
Product Comments This antibody is expected to recognise both reported isoforms (NP_001822.2 and NP_976084.1) | |
Peptide Sequence C-EKALQEYRKKHREE | |
Purification Method Purified from goat serum by ammonium sulphate precipitation followed by antigen affinity chromatography using the immunizing peptide. | |
Shipping Instructions Refrigerated | |
Predicted Species Human, Dog | |
Reactive Species Human | |
Human Gene ID 1191 | |
Product Grade ![]() | |
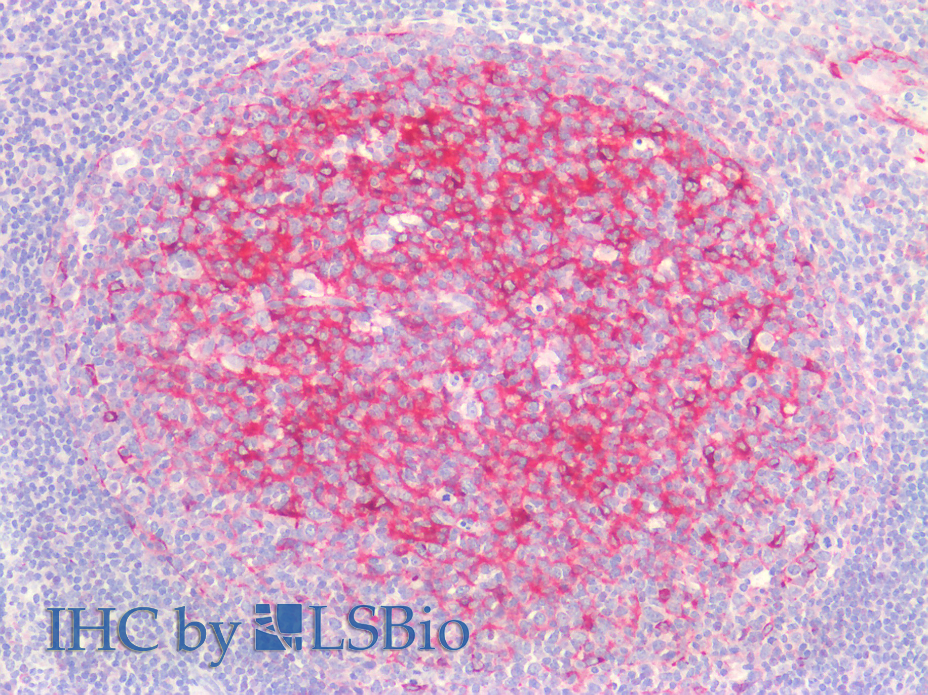
IHC Results Paraffin embedded Human Tonsil. Recommended concentration: 2.5µg/ml. | |
ELISA Detection Limit Antibody detection limit dilution 1:64000. | |
Western Blot Approx 35-37kDa band observed in Human Colon and Prostate lysates (calculated MW of 57.8kDa according to NP_NP_001822.2 and 52.5 according to NP_976084.1). The observed molecular weight corresponds to earlier findings in literature (PMID: 9713325 and PMID: 11560857). Recommended concentration: 0.03-0.1µg/ml. Primary incubation was 1 hour. | |
Application Type Pep-ELISA, WB, IF, IHC |
Goat Anti-Clusterin / APOJ Antibody
$431.00
| SKU | Unit Size | Price |
|---|---|---|
Select a unit size:
Documents |



