Formulation Supplied at 0.5 mg/ml in Tris saline, 0.02% sodium azide, pH7.3 with 0.5% bovine serum albumin.
| |
Unit Size 100 µg | |
Storage Instructions Aliquot and store at -20°C. Minimize freezing and thawing. | |
Synonym / Alias Names catechol-O-methyltransferase|COMT | |
Accession ID NP_000745.1; NP_009294.1 | |
Blocking Peptide EBP07357 | |
Immunogen Peptide with sequence C-QDIIPQLKKKYDVD, from the internal region of the protein sequence according to NP_000745.1; NP_009294.1. | |
Product Comments This antibody is expected to recognise both reported isoforms (NP_000745.1 and NP_009294.1) | |
Peptide Sequence C-QDIIPQLKKKYDVD | |
Purification Method Purified from goat serum by ammonium sulphate precipitation followed by antigen affinity chromatography using the immunizing peptide. | |
Shipping Instructions Refrigerated | |
Predicted Species Human | |
Reactive Species Human | |
Human Gene ID 1312 | |
Product Grade ![]() | |
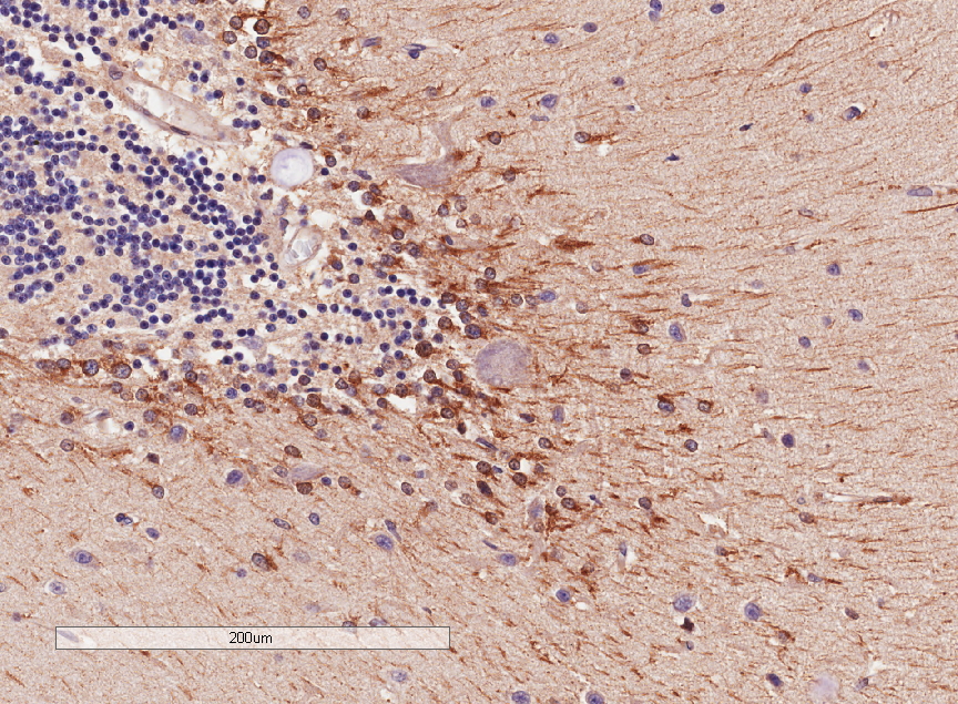
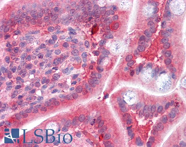
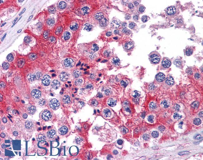
IHC Results In paraffin embedded Human Brain (Cerebellum) shows staining of processes coming from the edge of the granular zone into the molecular layer. Recommended concentration: 2-4µg/ml. Paraffin embedded Human Testis and Small Intestine. Recommended concentration: 3.75µg/ml. | |
ELISA Detection Limit Antibody detection limit dilution 1:64000. | |
Western Blot Approx 28kDa band in Human Testis lysates (calculated MW of 30.0kDa according to NP_000745.1 and 24.5kDa according to NP_009294.1). Recommended concentration: 0.03-0.1µg/ml. | |
Application Type Pep-ELISA, WB, IHC |
Goat Anti-COMT (internal) Antibody
$431.00
| SKU | Unit Size | Price |
|---|---|---|
Select a unit size:
Documents |




