Formulation Supplied at 0.5 mg/ml in Tris saline, 0.02% sodium azide, pH7.3 with 0.5% bovine serum albumin.
| |
Unit Size 100 µg | |
Storage Instructions Aliquot and store at -20°C. Minimize freezing and thawing. | |
Synonym / Alias Names neural cell surface protein F3|glycoprotein gP135|contactin-1|GP135|F3|contactin 1|CNTN1 | |
Accession ID NP_001834.2; NP_778203.1 | |
Blocking Peptide EBP12274 | |
Immunogen Peptide with sequence C-QVTSQEYSARLEN, from the internal region of the protein sequence according to NP_001834.2; NP_778203.1. | |
Product Comments This antibody is expected to recognize isoform 1 (NP_001834.2) and isoform 2 (NP_778203.1). | |
Peptide Sequence C-QVTSQEYSARLEN | |
Purification Method Purified from goat serum by ammonium sulphate precipitation followed by antigen affinity chromatography using the immunizing peptide. | |
Shipping Instructions Refrigerated | |
Predicted Species Human, Mouse, Rat, Dog, Pig | |
Reactive Species Human, Mouse, Rat | |
Human Gene ID 1272 | |
Mouse Gene ID 12805 | |
Rat Gene ID 117258 | |
Product Grade ![]() | |
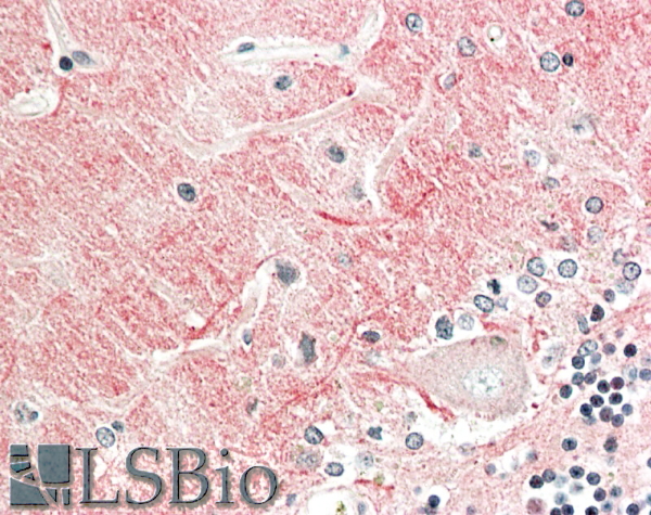
IHC Results Paraffin embedded Human Brain (Cerebellum) and Mouse Brain (Cerebral Cortex). Recommended concentration: 5µg/ml. | |
ELISA Detection Limit Antibody detection limit dilution 1:16000. | |
Western Blot Approx 140kDa band observed in Mouse Brain, and approx 150kDa observed in Human and Rat Brain lysates (calculated MW of 113kDa according to according to Human, NP_001834.2, Mouse NP_031753.1 and Rat NP_476459.1). The observed molecular weight corresponds to the glycosylated form. Recommended concentration: 0.3-1µg/ml. | |
Application Type Pep-ELISA, WB, IHC |
Goat Anti-contactin 1 (aa585-870) Antibody
$431.00
| SKU | Unit Size | Price |
|---|---|---|
Select a unit size:
Documents |




