Formulation Supplied at 0.5 mg/ml in Tris saline, 0.02% sodium azide, pH7.3 with 0.5% bovine serum albumin.
| |
Unit Size 100 µg | |
Storage Instructions Aliquot and store at -20°C. Minimize freezing and thawing. | |
Synonym / Alias Names RP11-542K23.6|prostaglandin G/H synthase and cyclooxygenase|prostaglandin-endoperoxide synthase 1 (prostaglandin G/H synthase and cyclooxygenase)|PGHS-1|PGG/HS|PTGHS|PGHS1|PCOX1|PHS1|COX3|COX1|PTGS1 | |
Accession ID NP_000953.2; NP_542158.1 | |
Blocking Peptide EBP05285 | |
Immunogen Peptide with sequence C-QDDGPAVERPSTEL, from the C Terminus of the protein sequence according to NP_000953.2; NP_542158.1. | |
Product Comments This antibody is expected to recognise both human isoforms of this protein according to NP_000953.2 and NP_542158.1. | |
Peptide Sequence C-QDDGPAVERPSTEL | |
Purification Method Purified from goat serum by ammonium sulphate precipitation followed by antigen affinity chromatography using the immunizing peptide. | |
Shipping Instructions Refrigerated | |
Predicted Species Human | |
Reactive Species Human | |
Human Gene ID 5742 | |
Product Grade ![]() | |
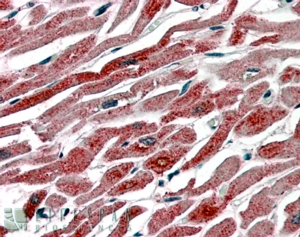
IHC Results In paraffin embedded Human Heart shows patchy staining of myocardial fibres in longitudinal section. Recommended concentration, 3-5µg/ml. | |
ELISA Detection Limit Antibody detection limit dilution 1:32000. | |
Western Blot Approx 70kDa band observed in lysates of histiocytic lymphoma cell line U937 (calculated MW of 68.7kDa according to NP_000953.2) Recommended for use at 0.3-1µg/ml. Primary incubation 1 hour at room temperature. | |
Application Type Pep-ELISA, WB, IHC |
Goat Anti-COX1 / PTGS1 Antibody
$431.00
| SKU | Unit Size | Price |
|---|---|---|
Select a unit size:
Documents |


