Formulation Supplied at 0.5 mg/ml in Tris saline, 0.02% sodium azide, pH7.3 with 0.5% bovine serum albumin.
| |
Unit Size 100 µg | |
Storage Instructions Aliquot and store at -20°C. Minimize freezing and thawing. | |
Synonym / Alias Names heat shock 10kD protein 1 (chaperonin 10)|early-pregnancy factor|chaperonin 10|10 kDa heat shock protein, mitochondrial|10 kDa chaperonin|HSP10|GROES|EPF|CPN10|heat shock 10kDa protein 1|HSPE1 | |
Accession ID NP_002148.1 | |
Blocking Peptide EBP12835 | |
Immunogen Peptide with sequence C-PEKSQGKVLQAT, from the internal region of the protein sequence according to NP_002148.1. | |
Peptide Sequence C-PEKSQGKVLQAT | |
Purification Method Purified from goat serum by ammonium sulphate precipitation followed by antigen affinity chromatography using the immunizing peptide. | |
Shipping Instructions Refrigerated | |
Predicted Species Human, Mouse, Rat, Dog, Pig, Cow | |
Reactive Species Human | |
Human Gene ID 3336, 100529241 | |
Mouse Gene ID 15528 | |
Rat Gene ID 25462 | |
Product Grade ![]() | |
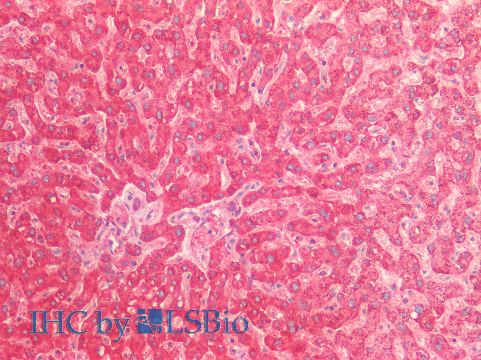
IHC Results Paraffin embedded Human Liver. Recommended concentration: 5µg/ml. | |
ELISA Detection Limit Antibody detection limit dilution 1:128000. | |
Western Blot Approx 10kDa band observed in lysates of cell line HepG2 (calculated MW of 10.9kDa according to NP_002148.1). Recommended concentration: 0.01-0.03µg/ml. | |
Application Type Pep-ELISA, WB, IHC |
Goat Anti-CPN10 / HSPE1 Antibody
$431.00
| SKU | Unit Size | Price |
|---|---|---|
Select a unit size:
Documents |


