Formulation Supplied at 0.5 mg/ml in Tris saline, 0.02% sodium azide, pH7.3 with 0.5% bovine serum albumin.
| |
Unit Size 100 µg | |
Storage Instructions Aliquot and store at -20°C. Minimize freezing and thawing. | |
Synonym / Alias Names CREB3|cAMP responsive element binding protein 3|LUMAN|LZIP|CREB-3|basic leucine zipper protein|cAMP-responsive element-binding protein 3|cyclic AMP response element (CRE)-binding protein/activating transcription factor 1|cyclic AMP-responsive element-binding protein 3|leucin zipper proitein|transcription factor LZIP-alpha | |
Accession ID NP_006359.3 | |
Blocking Peptide EBP12173 | |
Immunogen Peptide with sequence C-HHDHTYSLPRET, from the internal region of the protein sequence according to NP_006359.3. | |
Peptide Sequence C-HHDHTYSLPRET | |
Purification Method Purified from goat serum by ammonium sulphate precipitation followed by antigen affinity chromatography using the immunizing peptide. | |
Shipping Instructions Refrigerated | |
Predicted Species Human | |
Reactive Species Human | |
Human Gene ID 10488 | |
Product Grade ![]() | |
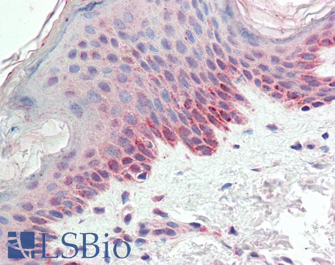
IHC Results Paraffin embedded Human Skin. Recommended concentration: 5µg/ml. | |
ELISA Detection Limit Antibody detection limit dilution 1:128000. | |
Western Blot Approx 45kDa band observed in lysates of cell line HepG2 (calculated MW of 41.4kDa according to NP_006359.3). Recommended concentration: 0.3-1µg/ml. Primary incubation was 1 hour. | |
Application Type Pep-ELISA, WB, IHC |
Goat Anti-CREB3 (aa76-87) Antibody
$431.00
| SKU | Unit Size | Price |
|---|---|---|
Select a unit size:
Documents |


