Formulation Supplied at 0.5 mg/ml in Tris saline, 0.02% sodium azide, pH7.3 with 0.5% bovine serum albumin.
| |
Unit Size 100 µg | |
Storage Instructions Aliquot and store at -20°C. Minimize freezing and thawing. | |
Synonym / Alias Names seven transmembrane helix receptor|corticotropin releasing hormone receptor variant 1h|CRHR1f|CRHR|CRH-R1h|CRFR1|CRF1|corticotropin releasing hormone receptor 1|CRF-R|CRHR1 | |
Usage Summary Immunofluorescence: Expression of the protein seen in the cytoplasm and vesicles of MCF7 cells. Recommended concentration: 10µg/ml. | |
Accession ID NP_004373.2 | |
Blocking Peptide EBP07553 | |
Immunogen Peptide with sequence KLYYDNEKCWFGKR, from the internal region of the protein sequence according to NP_004373.2. | |
Peptide Sequence KLYYDNEKCWFGKR | |
Purification Method Purified from goat serum by ammonium sulphate precipitation followed by antigen affinity chromatography using the immunizing peptide. | |
Shipping Instructions Refrigerated | |
Predicted Species Human, Mouse, Rat, Dog, Cow, Sheep | |
Reactive Species Human, Mouse | |
Human Gene ID 1394 | |
Mouse Gene ID 12921 | |
Rat Gene ID 58959 | |
Product Grade ![]() | |
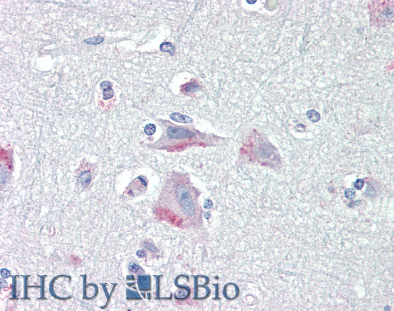
IHC Results Paraffin embedded Human Brain (Cortex). Recommended concentration: 5µg/ml. | |
ELISA Detection Limit Antibody detection limit dilution 1:1000. | |
Western Blot This antibody has been successfully used in WB on Mouse: Hunt AJ Jr et al, Brain Struct Funct. 2018 Jul;223(6):2685-2698. PMID: 29569009. | |
Application Type Pep-ELISA, WB, IF, IHC |
Goat Anti-CRHR1 / CRF-R (aa 250 – 263) Antibody
$464.00
| SKU | Unit Size | Price |
|---|---|---|
Select a unit size:
Selected References [{"pmid": 31737064, "intro": "This antibody has been successfully used on Rat:", "title": "Electroacupuncture Regulates Disorders of Gut-Brain Interaction by Decreasing Corticotropin-Releasing Factor in a Rat Model of IBS", "author": "Ying Chen , Yan Zhao, Dan-ni Luo , Hui Zheng , Ying Li , and Si-yuan Zhou", "journal": "Gastroenterology Research and Practice Volume 2019, Article ID 1759842"}, {"pmid": 29569009, "intro": "This antibody has been successfully used in Western blot on Mouse:", "title": "Paraventricular hypothalamic and amygdalar CRF neurons synapse in the external globus pallidus.", "author": "Hunt AJ Jr, Dasgupta R, Rajamanickam S, Jiang Z, Beierlein M, Chan CS, Justice NJ", "journal": "Brain Struct Funct. 2018 Jul;223(6):2685-2698."}, {"pmid": 24155300, "intro": "This antibody (previous batch) has been successfully used in ICC on Rat:", "title": "NMDA Receptor Activation and Calpain Contribute to Disruption of Dendritic Spines by the Stress Neuropeptide CRH", "author": "Adrienne L. Andres, Limor Regev, Lucas Phi, Ronald R. Seese, Yuncai Chen, Christine M. Gall and Tallie Z. Baram", "journal": "J Neurosci. 2013 Oct 23;33(43):16945-60."}, {"pmid": 29352046, "intro": "This antibody (previous batch) has been successfully used in IF on Mouse:", "title": "Local Corticotropin-Releasing Factor Signaling in the Hypothalamic Paraventricular Nucleus.", "author": "Jiang Z, Rajamanickam S, Justice NJ.", "journal": "J Neurosci. 2018 Feb 21;38(8):1874-1890."}] |
Documents |


