Formulation Supplied at 0.5 mg/ml in Tris saline, 0.02% sodium azide, pH7.3 with 0.5% bovine serum albumin.
| |
Unit Size 100 µg | |
Storage Instructions Aliquot and store at -20°C. Minimize freezing and thawing. | |
Synonym / Alias Names Crot| carnitine O-octanoyltransferase| COT| peroxisomal carnitine O-octanoyltransferase | |
Accession ID NP_114193.1 | |
Blocking Peptide EBP10729 | |
Immunogen Peptide with sequence RSCLETDAEKLVE, from the C Terminus of the protein sequence according to NP_114193.1. | |
Peptide Sequence RSCLETDAEKLVE | |
Purification Method Purified from goat serum by ammonium sulphate precipitation followed by antigen affinity chromatography using the immunizing peptide. | |
Shipping Instructions Refrigerated | |
Predicted Species Rat | |
Reactive Species Human, Rat | |
Rat Gene ID 83842 | |
Product Grade ![]() | |
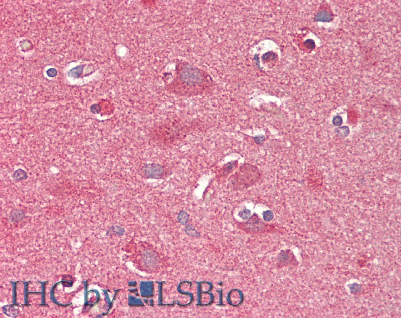
IHC Results Paraffin embedded Human Brain (Cortex) and Liver. Recommended concentration: 5µg/ml. | |
ELISA Detection Limit Antibody detection limit dilution 1:32000. | |
Western Blot Approx 75kDa band observed in Rat Kidney lysates (calculated MW of 70.3kDa according to NP_114193.1). Recommended concentration: 0.3-1µg/ml. Primary incubation was 1 hour. | |
Application Type Pep-ELISA, WB, IHC |
Goat Anti-Crot (rat) Antibody
$431.00
| SKU | Unit Size | Price |
|---|---|---|
Select a unit size:
Documents |



