Formulation Supplied at 0.5 mg/ml in Tris saline, 0.02% sodium azide, pH7.3 with 0.5% bovine serum albumin.
| |
Unit Size 100 µg | |
Storage Instructions Aliquot and store at -20°C. Minimize freezing and thawing. | |
Synonym / Alias Names CSF1R|McDonough feline sarcoma viral (v-fms) oncogene homolog|macrophage colony stimulating factor I receptor|FMS proto-oncogene|FMS|FIM2|CSFR|colony stimulating factor 1 receptor|C-FMS|CD115 antigen|CD115 | |
Usage Summary Flow Cytometry: Flow cytometric analysis of THP-1 cells. Recommended concentration: 10ug/ml. | |
Accession ID NP_005202.2; NP_001275634.1; NP_001362250.1 | |
Blocking Peptide EBP10258 | |
Immunogen Peptide with sequence C-NDSFSEQDLDK, from the internal region of the protein sequence according to NP_005202.2; NP_001275634.1; NP_001362250.1. | |
Peptide Sequence C-NDSFSEQDLDK | |
Purification Method Purified from goat serum by ammonium sulphate precipitation followed by antigen affinity chromatography using the immunizing peptide. | |
Shipping Instructions Refrigerated | |
Predicted Species Human, Dog, Cow | |
Reactive Species Human | |
Human Gene ID 1436 | |
Rat Gene ID 307403 | |
Product Grade ![]() | |
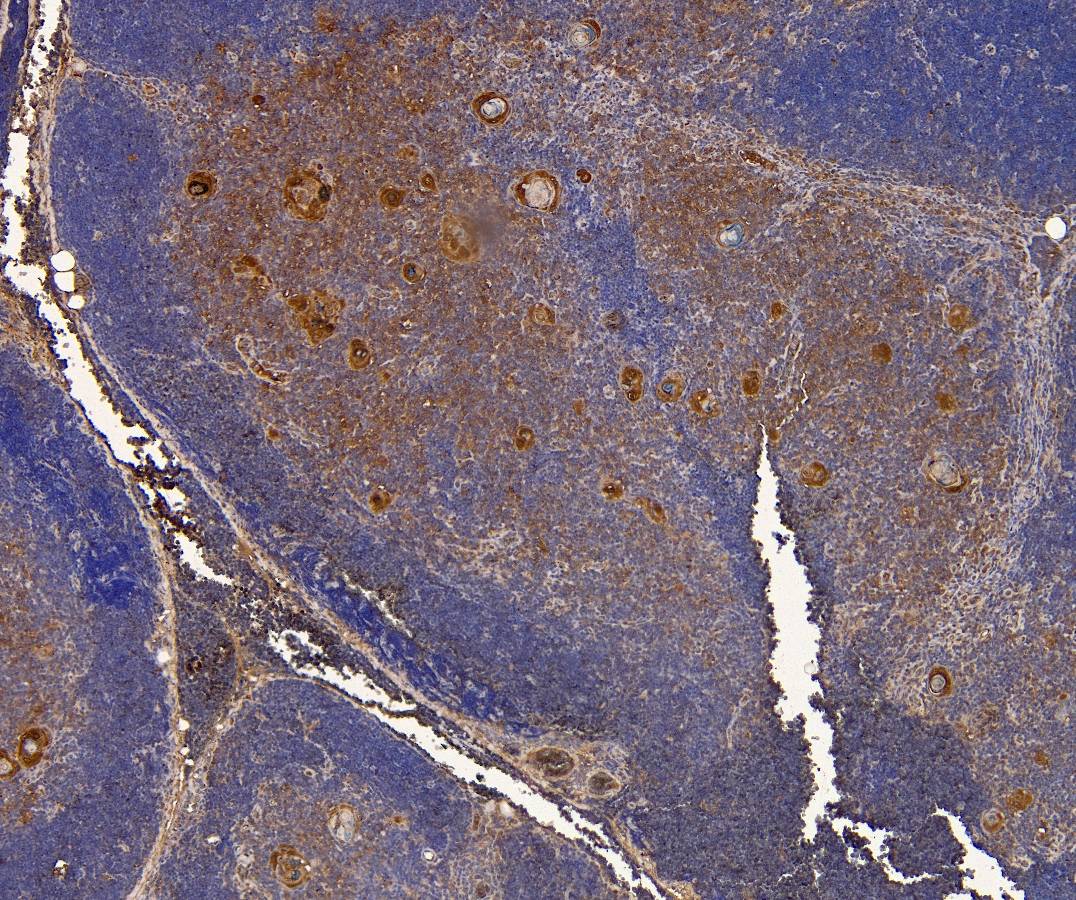
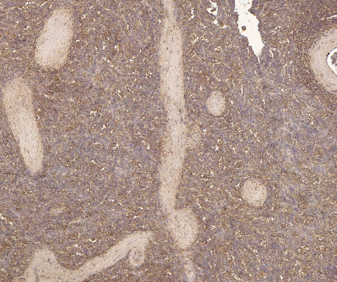
IHC Results Paraffin embedded Human Spleen and Tonsil. Recommended concentration: 5-6µg/ml. | |
ELISA Detection Limit Antibody detection limit dilution 1:8000. | |
Western Blot Approx. 100kDa band observed in lysates of cell line THP-1 (calculated MW. of 108kDa according to NP_005202.2). Recommended concentration: 1.5-3µg/ml. Primary incubation 1 hour at room temperature. | |
Application Type Pep-ELISA, FC, IHC, WB |
Goat Anti-CSF1R (aa734-744) Antibody
$431.00
| SKU | Unit Size | Price |
|---|---|---|
Select a unit size:
Documents |






