Formulation Supplied at 0.5 mg/ml in Tris saline, 0.02% sodium azide, pH7.3 with 0.5% bovine serum albumin.
| |
Unit Size 100 µg | |
Storage Instructions Aliquot and store at -20°C. Minimize freezing and thawing. | |
Synonym / Alias Names tinman paralog|cardiac-specific homeo box|NK2 transcription factor related, locus 5|NK2 transcription factor homolog E|NKX4-1|NKX2E|NKX2.5|CSX1|CSX|CHNG5|NK2 transcription factor related, locus 5 (Drosophila)|NKX2-5 | |
Accession ID NP_004378.1; NP_001159647.1; NP_001159648.1 | |
Blocking Peptide EBP09412 | |
Immunogen Peptide with sequence C-PRAYSDPDPAKDPR, from the internal region of the protein sequence according to NP_004378.1; NP_001159647.1; NP_001159648.1. | |
Product Comments This antibody is expected to recognize all three reported isoforms (NP_004378.1; NP_001159647.1; NP_001159648.1). | |
Peptide Sequence C-PRAYSDPDPAKDPR | |
Purification Method Purified from goat serum by ammonium sulphate precipitation followed by antigen affinity chromatography using the immunizing peptide. | |
Shipping Instructions Refrigerated | |
Predicted Species Human, Mouse, Rat, Cow, Dog | |
Reactive Species Human, Mouse | |
Human Gene ID 1482 | |
Mouse Gene ID 18091 | |
Rat Gene ID 114109 | |
Product Grade ![]() | |
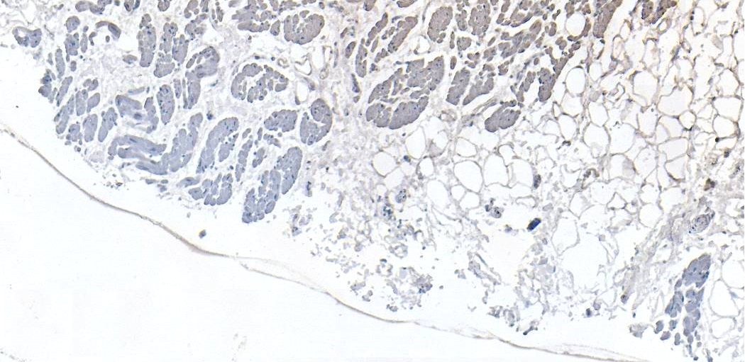
IHC Results Paraffin embedded Human Heart. Recommended concentration: 5-6µg/ml. | |
ELISA Detection Limit Antibody detection limit dilution 1:32000. | |
Western Blot Approx. 38kDa band observed in Mouse Heart lysates (calculated MW of 34.2kDa according to NP_032726.1). Recommended concentration: 1-3µg/ml. Primary incubation 1 hour at room temperature. | |
Application Type Pep-ELISA, WB, IHC |
Goat Anti-CSX1 / NKX2-5 Antibody
$431.00
| SKU | Unit Size | Price |
|---|---|---|
Select a unit size:
Selected References [{"pmid": 31781239, "intro": "This antibody has been successfully used in Western blot on Rat:", "title": "Complementary Embryonic and Adult Cell Populations Enhance Myocardial Repair in Rat Myocardial Injury Model", "author": "Sergio Li Calzi, Todd Cook, Domenico G. Della Rocca, Juan Zhang, Vinayak Shenoy, Yuanqing Yan, Andrew Espejo, Anandharajan Rathinasabapathy, Max H. Jacobsen, Tatiana Salazar, George E. Sandusky, Lynn C. Shaw, Keith March, Mohan K. Raizada, Carl J. Pepine, Michael J. Katovich, and Maria B. Grant", "journal": "Stem Cells International Volume 2019, Article ID 3945850, 11 pages https://doi.org/10.1155/2019/3945850 (2019)"}] |
Documents |



