Formulation Supplied at 0.5 mg/ml in Tris saline, 0.02% sodium azide, pH7.3 with 0.5% bovine serum albumin.
| |
Unit Size 100 µg | |
Storage Instructions Aliquot and store at -20°C. Minimize freezing and thawing. | |
Synonym / Alias Names LCB|clathrin, light chain (Lcb)|clathrin, light polypeptide A|clathrin, light polypeptide (Lca)|LCA|clathrin, light chain (Lca)|CTLB|CLTA | |
Accession ID NP_001824.1; NP_009027.1; NP_001070145.1; NP_001825.1; NP_009028.1 | |
Blocking Peptide EBP08878 | |
Immunogen Peptide with sequence CDFNPKSSKQAKD, from the internal region of the protein sequence according to NP_001824.1; NP_009027.1; NP_001070145.1; NP_001825.1; NP_009028.1. | |
Product Comments This antibody is expected to recognize all reported isoforms of light chains a and b. | |
Peptide Sequence CDFNPKSSKQAKD | |
Purification Method Purified from goat serum by ammonium sulphate precipitation followed by antigen affinity chromatography using the immunizing peptide. | |
Shipping Instructions Refrigerated | |
Predicted Species Human, Mouse, Rat, Dog, Cow | |
Reactive Species Human | |
Human Gene ID 1211, 1212 | |
Mouse Gene ID 12757 | |
Rat Gene ID 83800 | |
Product Grade ![]() | |
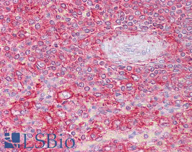
IHC Results Paraffin embedded Human Spleen. Recommended concentration: 2.5µg/ml. | |
ELISA Detection Limit Antibody detection limit dilution 1:32000. | |
Western Blot Approx. 35kDa and 22-23kDa bands observed in Human Brain (Frontal Cortex) lysates (calculated MW of 23.2kDa according to NP_001825.1). The observed molecular weight of ~35kDa corresponds to earlier findings in literature with different antibodies (Okamoto et al, Am J Physiol Cell Physiol. 2000 Sep;279(3):C833-51.; PMID: 10942733). Recommended concentration: 0.1-0.3µg/ml. Primary incubation was 1 hour. | |
Application Type Pep-ELISA, WB, IHC |
Goat Anti-CTLA + CTLB Antibody
$431.00
| SKU | Unit Size | Price |
|---|---|---|
Select a unit size:
Documents |


