Formulation Supplied at 0.5 mg/ml in Tris saline, 0.02% sodium azide, pH7.3 with 0.5% bovine serum albumin.
| |
Unit Size 100 µg | |
Storage Instructions Aliquot and store at -20°C. Minimize freezing and thawing. | |
Synonym / Alias Names catenin beta-1|armadillo|MRD19|CTNNB|catenin (cadherin-associated protein), beta 1, 88kDa|CTNNB1 | |
Usage Summary Immunofluorescence: Expression of the protein seen in the cytoplasm/Plasma Membrane of U2OS cells. Recommended concentration: 10µg/ml. | |
Accession ID NP_001895.1 | |
Blocking Peptide EBP12543 | |
Immunogen Peptide with sequence C-QIPSTQFDAAHPTN, from the internal region of the protein sequence according to NP_001895.1. | |
Product Comments Reported variants represent identical protein: NP_001091679.1, NP_001895.1, NP_001091680.1. | |
Peptide Sequence C-QIPSTQFDAAHPTN | |
Purification Method Purified from goat serum by ammonium sulphate precipitation followed by antigen affinity chromatography using the immunizing peptide. | |
Shipping Instructions Refrigerated | |
Predicted Species Human, Mouse, Rat, Dog, Pig, Cow | |
Reactive Species Human | |
Human Gene ID 1499 | |
Mouse Gene ID 12387 | |
Rat Gene ID 84353 | |
Product Grade ![]() | |
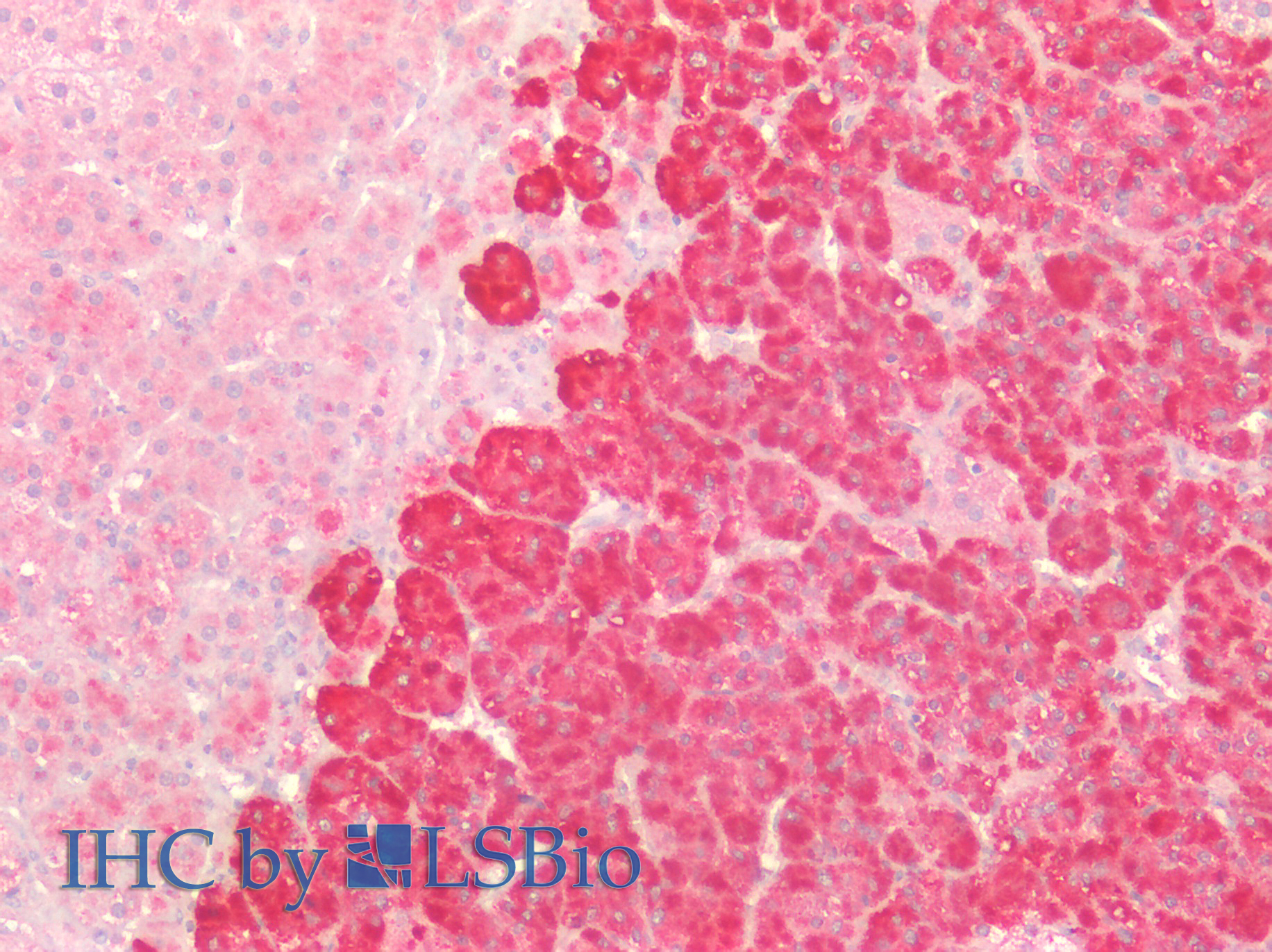
IHC Results Paraffin embedded Human Adrenal Gland. Recommended concentration: 5µg/ml. | |
ELISA Detection Limit Antibody detection limit dilution 1:128000. | |
Western Blot Approx 100kDa band observed in lysates of cell line HeLa (calculated MW of 85.5kDa according to NP_001895.1). Recommended concentration: 0.3-1µg/ml. Primary incubation 1 hour at room temperature.. | |
Application Type Pep-ELISA, WB, IHC, IF |
Goat Anti-CTNNB1 / catenin beta-1 (aa108-121) Antibody
$464.00
| SKU | Unit Size | Price |
|---|---|---|
Select a unit size:
Documents |



