Formulation Supplied at 0.5 mg/ml in Tris saline, 0.02% sodium azide, pH7.3 with 0.5% bovine serum albumin.
| |
Unit Size 100 µg | |
Storage Instructions Aliquot and store at -20°C. Minimize freezing and thawing. | |
Synonym / Alias Names CYP2E1|xenobiotic mo|P450-J|P450C2E|microsomal monooxygenase|flavoprotein-linked monooxygenase|cytochrome P450, subfamily IIE (ethanol-inducible), polypeptide 1|cytochrome P450, family 2, subfamily E, polypeptide 1|cytochrome P450 2E1|CYP2E|CPE1 | |
Accession ID NP_000764.1 | |
Blocking Peptide EBP10355 | |
Immunogen Peptide with sequence C-RKVIKNVAEVK, from the internal region of the protein sequence according to NP_000764.1. | |
Peptide Sequence C-RKVIKNVAEVK | |
Purification Method Purified from goat serum by ammonium sulphate precipitation followed by antigen affinity chromatography using the immunizing peptide. | |
Shipping Instructions Refrigerated | |
Predicted Species Human | |
Reactive Species Human | |
Human Gene ID 1571 | |
Product Grade ![]() | |
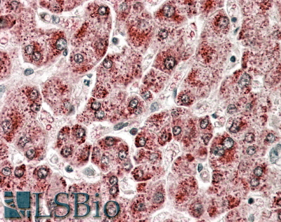
IHC Results In paraffin embedded Human Liver shows ER-like staining in hepatocytes. Recommended concentration, 3-5µg/ml. | |
ELISA Detection Limit Antibody detection limit dilution 1:32000. | |
Western Blot Approx 50kDa band observed in Human Liver lysates (calculated MW of 56.8kDa according to NP_000764.1). Recommended concentration: 0.05-0.2µg/ml. | |
Application Type Pep-ELISA, WB, IHC |
Goat Anti-CYP2E1 Antibody
$431.00
| SKU | Unit Size | Price |
|---|---|---|
Select a unit size:
Documents |


