Formulation Supplied at 0.5 mg/ml in Tris saline, 0.02% sodium azide, pH7.3 with 0.5% bovine serum albumin.
| |
Unit Size 100 µg | |
Storage Instructions Aliquot and store at -20°C. Minimize freezing and thawing. | |
Synonym / Alias Names cyp1a1| P450-1| cytochrome P450-P1| cytochrome P450, family 1, subfamily A, polypeptide 1| cytochrome P450, 1a1, aromatic compound inducible| cytochrome P450 subfamily I, polypeptide 1| cytochrome P450 family 1 subfamily a polypeptide 2| cytochrome P450 1A1| CYPIA1| Cyp1a2| CP11| aromatic compound inducible| AHRR| AHH | |
Usage Summary Immunofluorescence: Strong expression of the protein seen in the ER and cytoplasm of NIH3T3 cells. Recommended concentration: 10µg/ml. | |
Accession ID NP_001129531.1 | |
Blocking Peptide EBP11173 | |
Immunogen Peptide with sequence C-QDRKLDENANVQLSD, from the internal region of the protein sequence according to NP_001129531.1. | |
Product Comments This antibody is not expected to cross-react with the similar P450 1A2 | |
Peptide Sequence C-QDRKLDENANVQLSD | |
Purification Method Purified from goat serum by ammonium sulphate precipitation followed by antigen affinity chromatography using the immunizing peptide. | |
Shipping Instructions Refrigerated | |
Predicted Species Mouse, Rat | |
Reactive Species Human, Mouse, Rat | |
Mouse Gene ID 13076 | |
Rat Gene ID 24296 | |
Product Grade ![]() | |
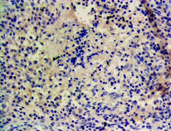
IHC Results Paraffin embedded Human Tonsil. Recommended concentration: 10µg/ml. | |
ELISA Detection Limit Antibody detection limit dilution 1:64000. | |
Western Blot Approx 55kDa band observed in Human and Rat Lung lysates (calculated MW of 58.2kDa according to Human NP_000490.1 and 59.4kDa according to Rat NP_036672.). Primary incubation was 1 hour. Recommended concentration: 0.1-0.3µg/ml. | |
Application Type Pep-ELISA, WB, IF, IHC |
Goat Anti-cytochrome P450 1A1 (mouse) Antibody
$431.00
| SKU | Unit Size | Price |
|---|---|---|
Select a unit size:
Documents |





