Formulation Supplied at 0.5 mg/ml in Tris saline, 0.02% sodium azide, pH7.3 with 0.5% bovine serum albumin.
| |
Unit Size 100 µg | |
Storage Instructions Aliquot and store at -20°C. Minimize freezing and thawing. | |
Synonym / Alias Names protein IT|MGC35423|KRT21|KRT20|keratin-20|keratin, type I cytoskeletal 20|keratin 20|K20|cytokeratin-20|cytokeratin 20|CK-20|CK20 | |
Accession ID NP_061883.1 | |
Blocking Peptide EBP11745 | |
Immunogen Peptide with sequence C-ETNAPRAGRDYS, from the internal region of the protein sequence according to NP_061883.1. | |
Peptide Sequence C-ETNAPRAGRDYS | |
Purification Method Purified from goat serum by ammonium sulphate precipitation followed by antigen affinity chromatography using the immunizing peptide. | |
Shipping Instructions Refrigerated | |
Predicted Species Human | |
Reactive Species Human | |
Human Gene ID 54474 | |
Product Grade ![]() | |
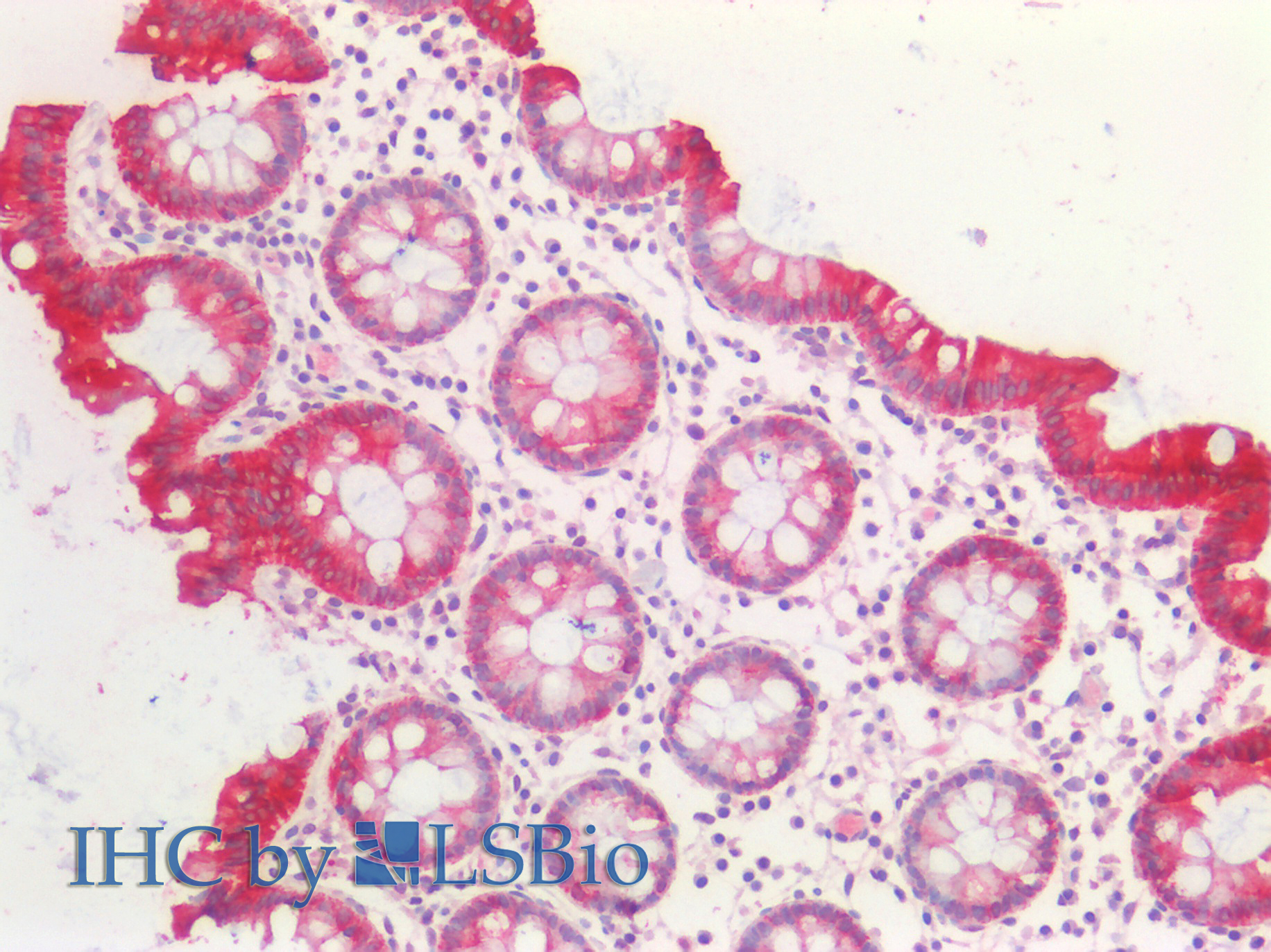
IHC Results Paraffin embedded Human Colon. Recommended concentration: 5µg/ml. | |
ELISA Detection Limit Antibody detection limit dilution 1:128000. | |
Western Blot Approx 49kDa band observed in Human Colon and Ileum lysates (calculated MW of 48.5kDa according to NP_061883.1). Recommended concentration: 0.01-0.03µg/ml. Primary incubation was 1 hour. | |
Application Type Pep-ELISA, WB, IHC |
Goat Anti-Cytokeratin 20 Antibody
$431.00
| SKU | Unit Size | Price |
|---|---|---|
Select a unit size:
Documents |


