Formulation Supplied at 0.5 mg/ml in Tris saline, 0.02% sodium azide, pH7.3 with 0.5% bovine serum albumin.
| |
Unit Size 100 µg | |
Storage Instructions Aliquot and store at -20°C. Minimize freezing and thawing. | |
Synonym / Alias Names KIAA0659|neural stem cell-derived dendrite regulator|diacylglycerol lipase alpha|NSDDR|DAGLALPHA|DAGL(ALPHA)|C11orf11|diacylglycerol lipase, alpha|DAGLA | |
Accession ID NP_006124.1 | |
Blocking Peptide EBP08790 | |
Immunogen Peptide with sequence C-PAKQDELVISAR, from the C Terminus of the protein sequence according to NP_006124.1. | |
Peptide Sequence C-PAKQDELVISAR | |
Purification Method Purified from goat serum by ammonium sulphate precipitation followed by antigen affinity chromatography using the immunizing peptide. | |
Shipping Instructions Refrigerated | |
Predicted Species Human, Mouse, Rat | |
Reactive Species Human | |
Human Gene ID 747 | |
Mouse Gene ID 269060 | |
Rat Gene ID 309207 | |
Product Grade ![]() | |
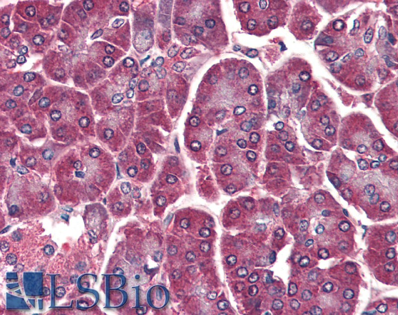
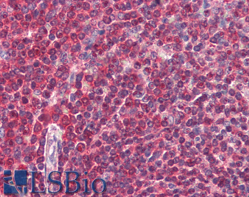
IHC Results Paraffin embedded Human Breast, Pancreas and Spleen. Recommended concentration: 5µg/ml. | |
ELISA Detection Limit Antibody detection limit dilution 1:128000. | |
Western Blot Approx 125kDa band observed in Human Liver lysates (calculated MW of 115kDa according to NP_006124.1). Recommended concentration: 0.3-1µg/ml. Some minor background is detected and is blocked by the immunizing peptide. Primary incubation was 1 hour. | |
Application Type Pep-ELISA, WB, IHC |
Goat Anti-DAGLA Antibody
$431.00
| SKU | Unit Size | Price |
|---|---|---|
Select a unit size:
Documents |




