Formulation Supplied at 0.5 mg/ml in Tris saline, 0.02% sodium azide, pH7.3 with 0.5% bovine serum albumin.
| |
Unit Size 100 µg | |
Storage Instructions Aliquot and store at -20°C. Minimize freezing and thawing. | |
Synonym / Alias Names killer activating receptor associated protein|DNAX-activation protein 12|PLOSL|KARAP|DAP12|TYRO protein tyrosine kinase binding protein|TYROBP | |
Accession ID NP_003323.1; NP_937758.1 | |
Blocking Peptide EBP09267 | |
Immunogen Peptide with sequence C-KQRITETESPYQE, from the internal region of the protein sequence according to NP_003323.1; NP_937758.1. | |
Product Comments This antibody is expected to recognize both reported isoforms (NP_003323.1; NP_937758.1) | |
Peptide Sequence C-KQRITETESPYQE | |
Purification Method Purified from goat serum by ammonium sulphate precipitation followed by antigen affinity chromatography using the immunizing peptide. | |
Shipping Instructions Refrigerated | |
Predicted Species Human | |
Reactive Species Human | |
Human Gene ID 7305 | |
Product Grade ![]() | |
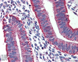
IHC Results Paraffin embedded Human Uterus and Spleen. Recommended concentration: 3-6µg/ml. | |
ELISA Detection Limit Antibody detection limit dilution 1:32000. | |
Application Type Pep-ELISA, IHC |
Goat Anti-DAP12 Antibody
$431.00
| SKU | Unit Size | Price |
|---|---|---|
Select a unit size:
Documents |


