Goat Anti-DAPK2 Antibody

$431.00

SKU Unit Size Price

Select a unit size:


SKU: EB05275
Formulation
Supplied at 0.5 mg/ml in Tris saline, 0.02% sodium azide, pH7.3 with 0.5% bovine serum albumin.
Unit Size
100 µg
Storage Instructions
Aliquot and store at -20°C. Minimize freezing and thawing.
Synonym / Alias Names
death-associated kinase 2|OTTHUMP00000163874|DAP-kinase-related protein 1|DAP kinase 2|MGC119312|DRP1|DRP-1|death-associated protein kinase 2|DAPK2
Accession ID
NP_055141.2; NP_001371929.1
Blocking Peptide
EBP05275
Immunogen
Peptide with sequence C-KALHPRRRSSTS, from the C Terminus of the protein sequence according to NP_055141.2; NP_001371929.1.
Peptide Sequence
C-KALHPRRRSSTS
Purification Method
Purified from goat serum by ammonium sulphate precipitation followed by antigen affinity chromatography using the immunizing peptide.
Shipping Instructions
Refrigerated
Predicted Species
Human, Mouse, Rat, Dog, Pig
Reactive Species
Human, Mouse
Human Gene ID
23604
Product Grade
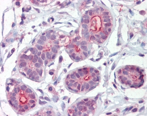
IHC Results
Paraffin embedded Human Breast and Thyroid. Recommended concentration: 2.5µg/ml.
ELISA Detection Limit
Antibody detection limit dilution 1:32000.
Western Blot
Approx 40-45kDa bands seen in mouse brain extracts. Recommended for use at 1-3µg/ml. Primary incubation was for 1 hour.
Application Type
Pep-ELISA, WB, IHC
Documents