Formulation Supplied at 0.5 mg/ml in Tris saline, 0.02% sodium azide, pH7.3 with 0.5% bovine serum albumin.
| |
Unit Size 100 µg | |
Storage Instructions Aliquot and store at -20°C. Minimize freezing and thawing. | |
Synonym / Alias Names dendritic cell-specific intracellular adhesion molecules (ICAM)-3 grabbing non-integrin|dendritic cell-specific ICAM-3-grabbing non-integrin 1|HIV gpl20-binding protein|CD209 antigen|C-type lectin domain family 4, member L|C-type lectin domain family 4 member L|DC-SIGN1|DC-SIGN|CLEC4L|CDSIGN|CD209 molecule|CD209 | |
Usage Summary Immunofluorescence: Strong expression of the protein seen in the plasma membranes and cytoplasm of THP-1 cells. Recommended concentration: 10µg/ml.
Flow Cytometry: Flow cytometric analysis of THP-1 cells. Recommended concentration: 10ug/ml. | |
Accession ID NP_066978.1; NP_001138368.1; NP_001138369.1; NP_001138365.1; NP_001138366.1; NP_001138367.1; NP_001138371.1 | |
Blocking Peptide EBP12715 | |
Immunogen Peptide with sequence C-NRGEPNNVGEED, from the internal region of the protein sequence according to NP_066978.1; NP_001138368.1; NP_001138369.1; NP_001138365.1; NP_001138366.1; NP_001138367.1; NP_001138371.1. | |
Product Comments This antibody is expected to recognize all reported isoforms. | |
Peptide Sequence C-NRGEPNNVGEED | |
Purification Method Purified from goat serum by ammonium sulphate precipitation followed by antigen affinity chromatography using the immunizing peptide. | |
Shipping Instructions Refrigerated | |
Predicted Species Human | |
Reactive Species Human | |
Human Gene ID 30835 | |
Product Grade ![]() | |
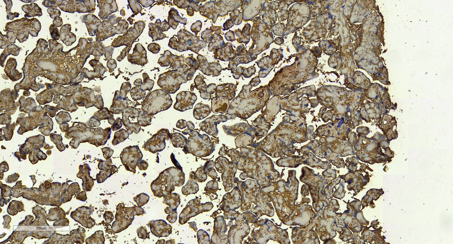
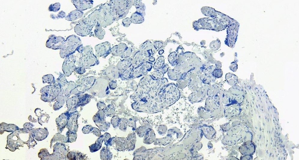
IHC Results Paraffin embedded Human Placenta. Recommended concentration: 6µg/ml. | |
ELISA Detection Limit Antibody detection limit dilution 1:128000. | |
Western Blot Approx. 50kDa band observed in lysates of cell lines K562 and THP-1, and in preliminary testing of Human Lung and Testes lysate (calculated MW of 45.8kDa according to NP_066978.1). This molecular weight is observed by other commercial sources, and was successfully blocked by incubation with the immunizing peptide. Recommended concentration: 1-3µg/ml. Primary incubation 1 hour at room temperature. Positive Control: A batch specific positive control lysate is available for this product. Please contact [email protected] for availability. | |
Application Type Pep-ELISA, WB, IHC, IF, FC |
Goat Anti-DC-SIGN / CD209 Antibody
$464.00
| SKU | Unit Size | Price |
|---|---|---|
Select a unit size:
Documents |





