Formulation Supplied at 0.5 mg/ml in Tris saline, 0.02% sodium azide, pH7.3 with 0.5% bovine serum albumin.
| |
Unit Size 100 µg | |
Storage Instructions Aliquot and store at -20°C. Minimize freezing and thawing. | |
Synonym / Alias Names DCTN3|MGC111190|dynactin light chain|dynactin 3, isoform 1|dynactin 3 (p22)|dynactin 3|DCTN-22|DCTN22 | |
Usage Summary Flow Cytometry: Flow cytometric analysis of K562 cells. Recommended concentration: 10ug/ml. | |
Accession ID NP_009165.1; NP_077324.1 | |
Blocking Peptide EBP10446 | |
Immunogen Peptide with sequence C-QVALGNISSKRE, from the internal region of the protein sequence according to NP_009165.1; NP_077324.1. | |
Product Comments This antibody is expected to recognize both reported isoforms (NP_009165.1; NP_077324.1). | |
Peptide Sequence C-QVALGNISSKRE | |
Purification Method Purified from goat serum by ammonium sulphate precipitation followed by antigen affinity chromatography using the immunizing peptide. | |
Shipping Instructions Refrigerated | |
Predicted Species Human, Mouse, Rat, Dog, Cow | |
Reactive Species Human, Rat | |
Human Gene ID 11258 | |
Mouse Gene ID 53598 | |
Rat Gene ID 362504 | |
Product Grade ![]() | |
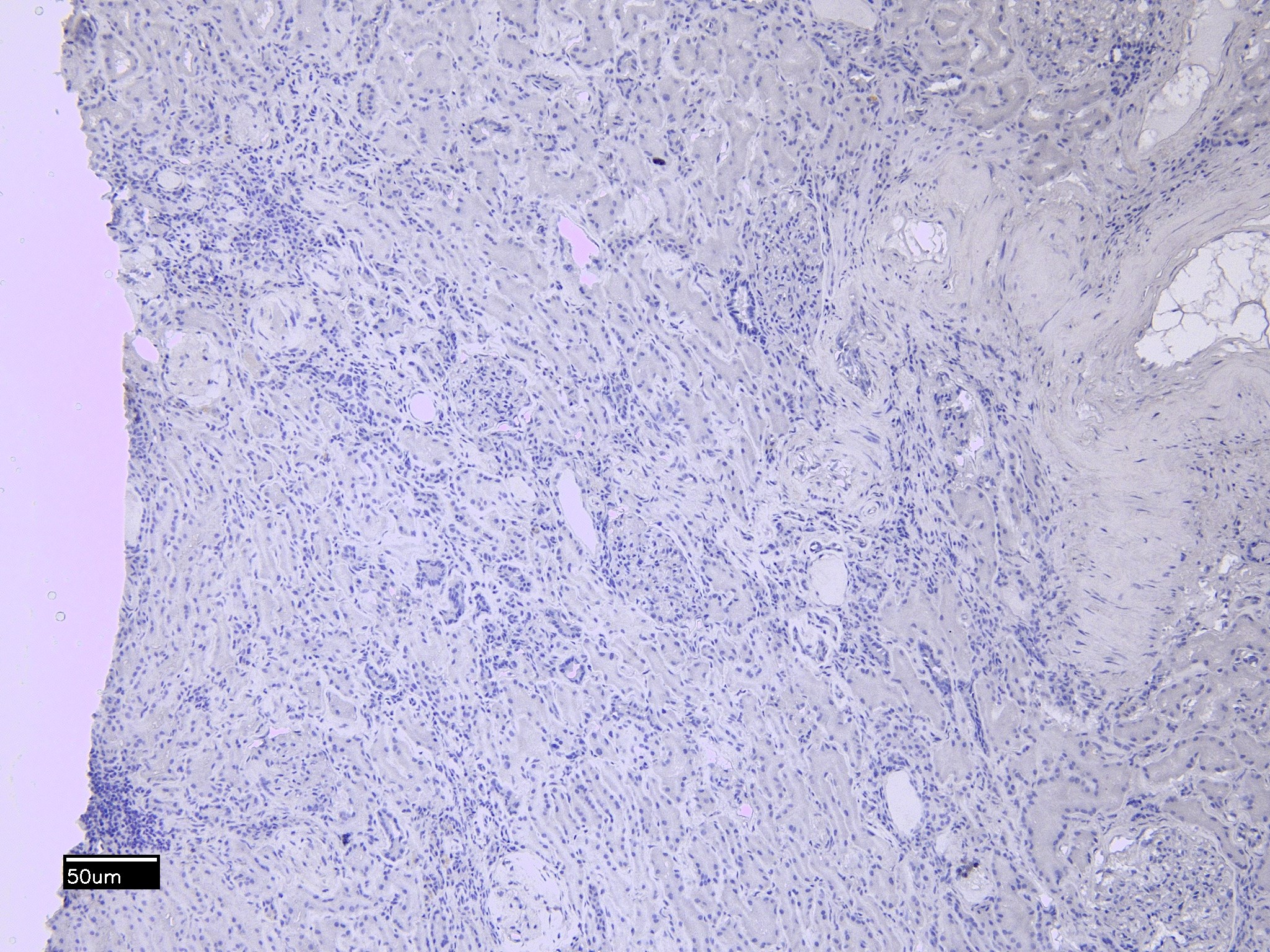
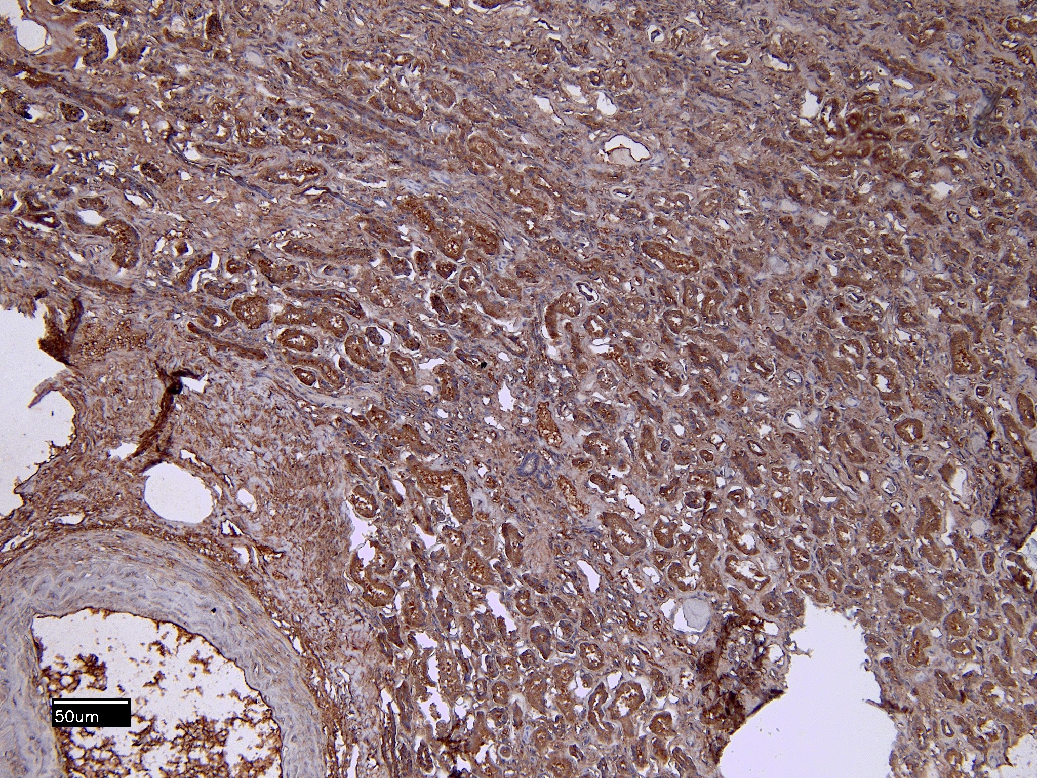
IHC Results Paraffin embedded Human Kidney. Recommended concentration: 6-8µg/ml. | |
ELISA Detection Limit Antibody detection limit dilution 1:16000. | |
Western Blot Approx 20kDa band observed in Human Liver lysates, and approx. 18kDa in Rat Kidney lysates and in preliminary testing of Mouse Kidney lysate (calculated MW of 19.5kDa according to Human NP_077324.1 and 21.1kDa according to Rat NP_001102129.1. Recommended concentration: 0.1-0.3µg/ml. Primary incubation 1 hour at room temperature. | |
Application Type Pep-ELISA, WB, IHC, FC |
Goat Anti-DCTN3 Antibody
$464.00
| SKU | Unit Size | Price |
|---|---|---|
Select a unit size:
Documents |





