Formulation Supplied at 0.5 mg/ml in Tris saline, 0.02% sodium azide, pH7.3 with 0.5% bovine serum albumin.
| |
Unit Size 100 µg | |
Storage Instructions Aliquot and store at -20°C. Minimize freezing and thawing. | |
Synonym / Alias Names putative RNA helicase|probable ATP-dependent RNA helicase DDX41|DEAD-box protein abstrakt|DEAD box protein abstrakt homolog|DEAD box protein 41|2900024F02Rik|ABS|DEAD (Asp-Glu-Ala-Asp) box polypeptide 41|DDX41 | |
Accession ID NP_057306.2 | |
Blocking Peptide EBP12413 | |
Immunogen Peptide with sequence C-QEERTKAIEAFRE, from the internal region of the protein sequence according to NP_057306.2. | |
Peptide Sequence C-QEERTKAIEAFRE | |
Purification Method Purified from goat serum by ammonium sulphate precipitation followed by antigen affinity chromatography using the immunizing peptide. | |
Shipping Instructions Refrigerated | |
Predicted Species Human, Mouse, Rat, Dog, Cow | |
Reactive Species Human | |
Human Gene ID 51428 | |
Mouse Gene ID 72935 | |
Rat Gene ID 314336 | |
Product Grade ![]() | |
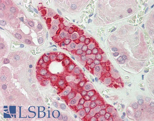
IHC Results Paraffin embedded Human Kidney. Recommended concentration: 5µg/ml. | |
ELISA Detection Limit Antibody detection limit dilution 1:128000. | |
Western Blot Approx 85kDa band observed in Human Bone Marrow lysates (calculated MW of 69.8kDa according to NP_057306.2). This molecular weight is routinely observed by other sources. Recommended concentration: 0.5-2µg/ml. Primary incubation was 1 hour. | |
Application Type Pep-ELISA, WB, IHC |
-
This product has been discontinued.
Goat Anti-DDX41 (aa468-480) Antibody
$423.00
| SKU | Unit Size | Price |
|---|---|---|
Select a unit size:
Documents |


