Formulation Supplied at 0.5 mg/ml in Tris saline, 0.02% sodium azide, pH7.3 with 0.5% bovine serum albumin.
| |
Unit Size 100 µg | |
Storage Instructions Aliquot and store at -20°C. Minimize freezing and thawing. | |
Synonym / Alias Names retinoic acid-inducible gene I|RNA helicase RIG-I|RNA helicase|OTTHUMP00000045225|DEAD/H (Asp-Glu-Ala-Asp/His) box polypeptide RIG-I|DEAD/H (Asp-Glu-Ala-Asp/His) box polypeptide|RIG-I|FLJ13599|DKFZp686N19181|DKFZp434J1111|DEAD (Asp-Glu-Ala-Asp) box polypeptide 58|DDX58 | |
Usage Summary Immunofluorescence: Strong expression of the protein seen in the cytoplasm of A431 and HeLa cells. Recommended concentration: 10µg/ml.
Flow Cytometry: Flow cytometric analysis of U937 cells. Recommended concentration: 10ug/ml. | |
Accession ID NP_055129.2 | |
Blocking Peptide EBP08003 | |
Immunogen Peptide with sequence C-KDFHFEKIPFDPAE, from the C Terminus of the protein sequence according to NP_055129.2. | |
Peptide Sequence C-KDFHFEKIPFDPAE | |
Purification Method Purified from goat serum by ammonium sulphate precipitation followed by antigen affinity chromatography using the immunizing peptide. | |
Shipping Instructions Refrigerated | |
Predicted Species Human, Mouse | |
Reactive Species Human | |
Human Gene ID 23586 | |
Product Grade ![]() | |
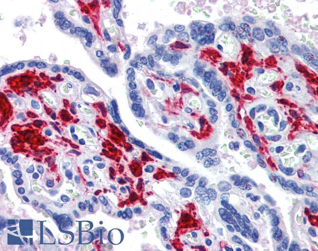
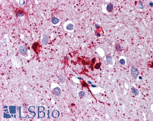
IHC Results Paraffin embedded Human Spleen, Placenta, and Brain (Cortex). Recommended concentration: 3.75µg/ml. | |
ELISA Detection Limit Antibody detection limit dilution 1:32000. | |
Application Type Pep-ELISA, FC, IF, IHC |
Goat Anti-DDX58 Antibody
$431.00
| SKU | Unit Size | Price |
|---|---|---|
Select a unit size:
Documents |






