Formulation Supplied at 0.5 mg/ml in Tris saline, 0.02% sodium azide, pH7.3 with 0.5% bovine serum albumin.
| |
Unit Size 100 µg | |
Storage Instructions Aliquot and store at -20°C. Minimize freezing and thawing. | |
Synonym / Alias Names DEAD/H (Asp-Glu-Ala-Asp/His) box polypeptide 6 (RNA helicase, 54kD)|DEAD box-6|RCK|P54|HLR2|DDX6|DEAD (Asp-Glu-Ala-Asp) box polypeptide 6|DEAD-box protien 6 | |
Accession ID NP_004388.1 | |
Blocking Peptide EBP07126 | |
Immunogen Peptide with sequence C-AEYHSEPVEDEKP, from the C Terminus of the protein sequence according to NP_004388.1. | |
Peptide Sequence C-AEYHSEPVEDEKP | |
Purification Method Purified from goat serum by ammonium sulphate precipitation followed by antigen affinity chromatography using the immunizing peptide. | |
Shipping Instructions Refrigerated | |
Predicted Species Human, Mouse, Rat, Dog | |
Reactive Species Human | |
Human Gene ID 1656 | |
Product Grade ![]() | |
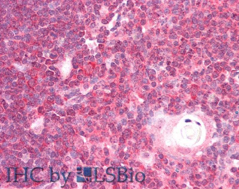
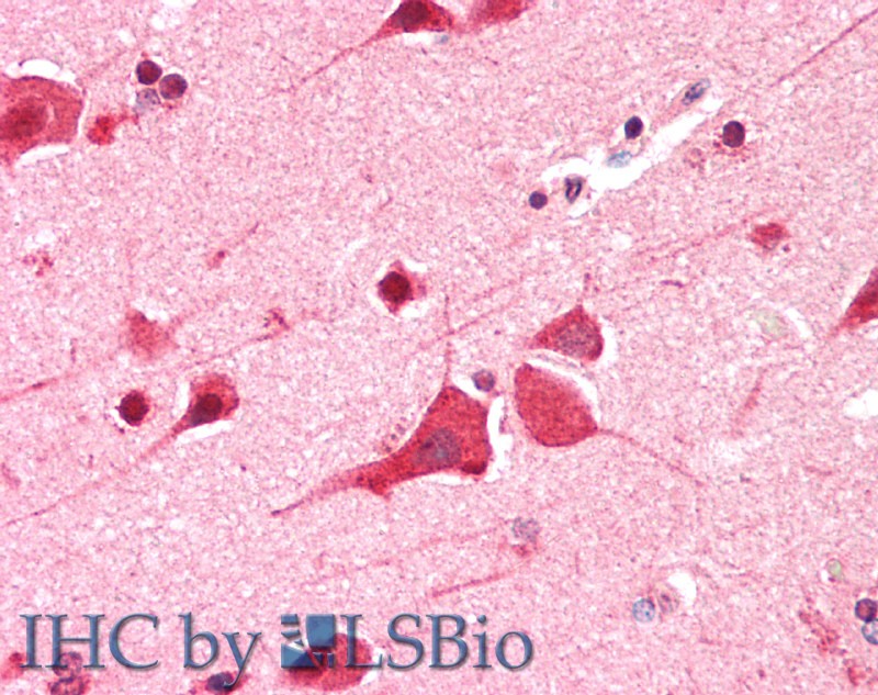
IHC Results Paraffin embedded Human Brain (Cortex) and Thymus. Recommended concentration: 5µg/ml. | |
ELISA Detection Limit Antibody detection limit dilution 1:128000. | |
Western Blot Approx 50kDa band observed in lysates of cell lines Daudi, Jurkat and HepG2 (calculated MW of 53.2kDa according to NP_004388.1). Recommended concentration: 0.3-1µg/ml. Primary incubation was 1 hour. | |
Application Type Pep-ELISA, WB, IHC |
Goat Anti-DEAD-box protein 6 Antibody
$431.00
| SKU | Unit Size | Price |
|---|---|---|
Select a unit size:
Documents |



