Formulation Supplied at 0.5 mg/ml in Tris saline, 0.02% sodium azide, pH7.3 with 0.5% bovine serum albumin.
| |
Unit Size 100 µg | |
Storage Instructions Aliquot and store at -20°C. Minimize freezing and thawing. | |
Synonym / Alias Names small leucine-rich protein 1B|proteoglycan core protein|dermatan sulphate proteoglycans II|decorin proteoglycan|bone proteoglycan II|SLRR1B|PGS2|PGII|PG40|DSPG2|CSCD|decorin|DCN | |
Accession ID NP_001911.1; NP_598011.1; NP_598012.1; | |
Blocking Peptide EBP09461 | |
Immunogen Peptide with sequence C-KISRVDAASLKGLNN, from the internal region of the protein sequence according to NP_001911.1; NP_598011.1; NP_598012.1;. | |
Product Comments This antibody is expected to recognize the three reported isoforms a, b and c (NP_001911.1; NP_598011.1; NP_598012.1 resp.). Reported variants NP_598010.1 and NP_001911.1 represent identical protein. | |
Peptide Sequence C-KISRVDAASLKGLNN | |
Purification Method Purified from goat serum by ammonium sulphate precipitation followed by antigen affinity chromatography using the immunizing peptide. | |
Shipping Instructions Refrigerated | |
Predicted Species Human, Cow, Pig, Cavia | |
Reactive Species Human | |
Human Gene ID 1634 | |
Product Grade ![]() | |
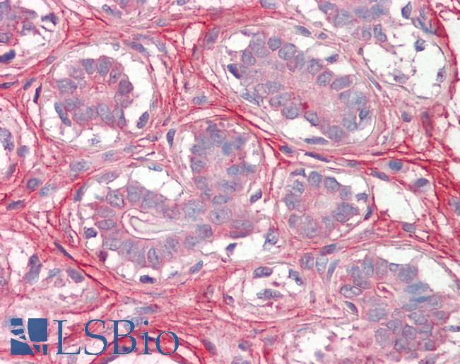
IHC Results Paraffin embedded Human Breast. Recommended concentration: 3.75µg/ml. | |
ELISA Detection Limit Antibody detection limit dilution 1:8000. | |
Western Blot Approx 38kDa band observed in Human Kidney lysates (calculated MW of 39.7kDa according to NP_001911.1). Recommended concentration: 0.5-2µg/ml. Primary incubation was 1 hour. | |
Application Type Pep-ELISA, WB, IHC |
Goat Anti-Decorin Antibody
$431.00
| SKU | Unit Size | Price |
|---|---|---|
Select a unit size:
Documents |


